Anti-Phospho-Cytokeratin 18 (Ser33) Rabbit antibody

Cat.#: 166703

Size:

Special Price 441.3 USD

Availability: In Stock
- +

Add to cart to get an online quotation

Product Information

  • Product Name
    Anti-Phospho-Cytokeratin 18 (Ser33) Rabbit antibody
  • Documents
  • Description
    Phospho-Cytokeratin 18 (Ser33) Rabbit polyclonal antibody
  • Tested applications
    WB, IHC-P
  • Species reactivity
    Human
  • Isotype
    Rabbit IgG
  • Preparation
    Antigen: Peptide sequence around phosphorylation site of serine 33 (A-A-S(p)-V-Y) derived from Human Keratin 18 (CK18).
  • Clonality
    Polyclonal
  • Formulation
    Supplied at 1.0mg/mL in phosphate buffered saline (without Mg2+ and Ca2+), pH 7.4, 150mM NaCl, 0.02% sodium azide and 50% glycerol.
  • Storage instructions
    Store at 4°C short term. Store at -20°C long term. Avoid freeze / thaw cycle.
  • Applications

    WB:1/500-1/1000IHC:1/50-1/100

  • Validations

    Western blot analysis of extracts from HT29 cells untreated or treated with EGF using Keratin 18 (Phospho-Ser33) Antibody .

    Western blot analysis of extracts from HT29 cells untreated or treated with EGF using Keratin 18 (Phospho-Ser33) Antibody .

    Western blot analysis of extracts from Hela cells, untreated or UV-treated, using KRT18(Phospho-Ser33) Rabbit pAb (1:5000 diluted).Predicted band size:46kDa.Observed band size:46kDa..

    Western blot analysis of extracts from Hela cells, untreated or UV-treated, using KRT18(Phospho-Ser33) Rabbit pAb (1:5000 diluted).Predicted band size:46kDa.Observed band size:46kDa..

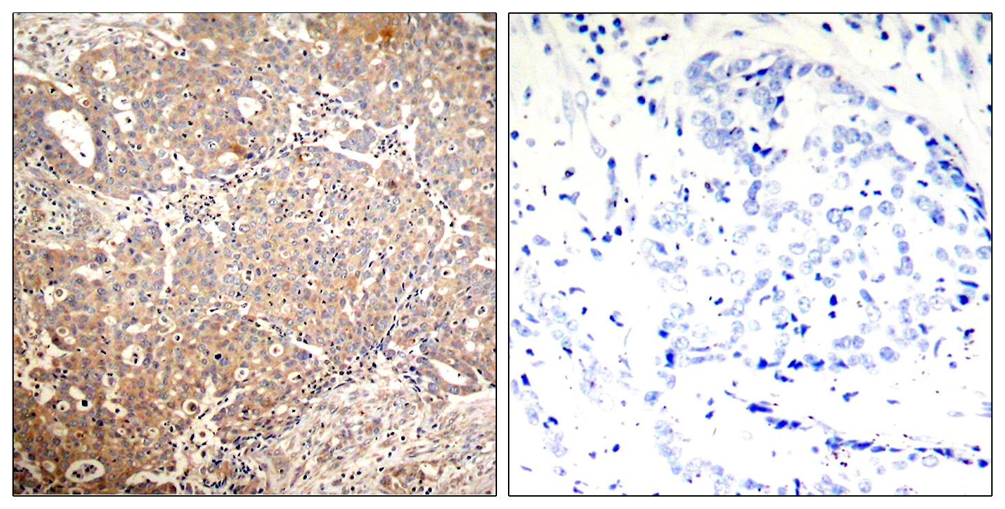
    Immunohistochemical analysis of paraffin-embedded human breast carcinoma tissue using Keratin 18 (Phospho-Ser33) Antibody (left) or the same antibody preincubated with blocking peptide (right).

    Immunohistochemical analysis of paraffin-embedded human breast carcinoma tissue using Keratin 18 (Phospho-Ser33) Antibody (left) or the same antibody preincubated with blocking peptide (right).

  • Background
    Swiss-Prot Acc.P05783.

Please note: All products are "FOR RESEARCH USE ONLY AND ARE NOT INTENDED FOR DIAGNOSTIC OR THERAPEUTIC USE"