Anti-Cytokeratin 18 (4G8) Mouse antibody

Cat.#: 168149

Size:

Special Price 441.3 USD

Availability: In Stock
- +

Add to cart to get an online quotation

Product Information

  • Product Name
    Anti-Cytokeratin 18 (4G8) Mouse antibody
  • Documents
  • Description
    Cytokeratin 18 (4G8) Mouse monoclonal antibody
  • Tested applications
    WB, ICC/IF
  • Species reactivity
    Human, Mouse, Rat
  • Isotype
    Mouse IgG1
  • Preparation
    Antigen: Recombinant Protein of Keratin type I cytoskeletal 18
  • Clonality
    Monoclonal
  • Formulation
    PBS, pH 7.4, containing 0.02% sodium azide as Preservative and 50% Glycerol.
  • Storage instructions
    Store at 4°C short term. Store at -20°C long term. Avoid freeze / thaw cycle.
  • Applications

    WB: 1/1000 -1/3000

    IF: 1/100-1/200

  • Validations

    Western blot detection of Keratin 18 in 3T3,Hela cell lysates using Keratin 18 (4G8) Mouse mAb(1:1000 diluted).Predicted band size:46KDa.Observed band size:46KDa.

    Western blot detection of Keratin 18 in 3T3,Hela cell lysates using Keratin 18 (4G8) Mouse mAb(1:1000 diluted).Predicted band size:46KDa.Observed band size:46KDa.

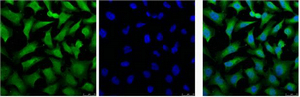
    IF analysis of Hela, and DAPI (Right) diluted at 1:100.

    IF analysis of Hela, and DAPI (Right) diluted at 1:100.

    Western blot analysis of 1) HepG2, 2) Hela, 3) Mouse Liver tissue, 4) C2C12, 5) Rat Heart tissue, 6) Mouse Skeletal Muscle tissue, diluted at 1:2000.

    Western blot analysis of 1) HepG2, 2) Hela, 3) Mouse Liver tissue, 4) C2C12, 5) Rat Heart tissue, 6) Mouse Skeletal Muscle tissue, diluted at 1:2000.

  • Background
    Swiss-Prot Acc.P05783.Involved in the uptake of thrombin-antithrombin complexes by hepatic cells . When phosphorylated, plays a role in filament reorganization. Involved in the delivery of mutated CFTR to the plasma membrane. Together with KRT8, is involved in interleukin-6 (IL-6)-mediated barrier protection.

Please note: All products are "FOR RESEARCH USE ONLY AND ARE NOT INTENDED FOR DIAGNOSTIC OR THERAPEUTIC USE"