XRCC2 Polyclonal Antibody

Cat.#: 163571

Special Price 226.5 USD

Availability: In Stock
- +

Add to cart to get an online quotation

Product Information

  • Product Name
    XRCC2 Polyclonal Antibody
  • Documents
  • Description
    Polyclonal antibody to XRCC2
  • Tested applications
    WB, IHC, IF
  • Species reactivity
    Human, Mouse, Rat
  • Alternative names
    XRCC2 antibody; FANCU antibody; DNA repair protein XRCC2 antibody
  • Isotype
    Rabbit IgG
  • Preparation
    Antigen: Recombinant fusion protein containing a sequence corresponding to amino acids 1-280 of human XRCC2 (NP_005422.1).
  • Clonality
    Polyclonal
  • Formulation
    PBS with 0.02% sodium azide, 50% glycerol, pH7.3.
  • Storage instructions
    Store at -20℃. Avoid freeze / thaw cycles.
  • Applications
    WB 1:500 - 1:2000
    IHC 1:50 - 1:200
    IF 1:50 - 1:200
  • Validations

    Western blot - XRCC2 Polyclonal Antibody

    Western blot - XRCC2 Polyclonal Antibody

    Western blot analysis of extracts of mouse testis, using XRCC2 antibody at 1:1000 dilution.Secondary antibody: HRP Goat Anti-Rabbit IgG (H+L) at 1:10000 dilution.Lysates/proteins: 25ug per lane.Blocking buffer: 3% nonfat dry milk in TBST.Detection: ECL Basic Kit .Exposure time: 30s.

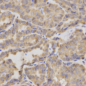
    Immunohistochemistry - XRCC2 Polyclonal Antibody

    Immunohistochemistry - XRCC2 Polyclonal Antibody

    Immunohistochemistry of paraffin-embedded human thyroid cancer using XRCC2 antibody at dilution of 1:200 (40x lens).

    Immunofluorescence - XRCC2 Polyclonal Antibody

    Immunofluorescence - XRCC2 Polyclonal Antibody

    Immunofluorescence analysis of MCF-7 cells using XRCC2 antibody . Blue: DAPI for nuclear staining.

    Immunofluorescence - XRCC2 Polyclonal Antibody

    Immunofluorescence - XRCC2 Polyclonal Antibody

    Immunofluorescence analysis of A549 cells using XRCC2 antibody .

  • Background
    Involved in the homologous recombination repair (HRR) pathway of double-stranded DNA, thought to repair chromosomal fragmentation, translocations and deletions. Part of the Rad21 paralog protein complex BCDX2 which acts in the BRCA1-BRCA2-dependent HR pathway. Upon DNA damage, BCDX2 acts downstream of BRCA2 recruitment and upstream of RAD51 recruitment. BCDX2 binds predominantly to the intersection of the four duplex arms of the Holliday junction and to junction of replication forks. The BCDX2 complex was originally reported to bind single-stranded DNA, single-stranded gaps in duplex DNA and specifically to nicks in duplex DNA.

Please note: All products are "FOR RESEARCH USE ONLY AND ARE NOT INTENDED FOR DIAGNOSTIC OR THERAPEUTIC USE"