WDR77 Polyclonal Antibody

Cat.#: 165207

Special Price 226.5 USD

Availability: In Stock
- +

Add to cart to get an online quotation

Product Information

  • Product Name
    WDR77 Polyclonal Antibody
  • Documents
  • Description
    Polyclonal antibody to WDR77
  • Tested applications
    WB, IHC, IF
  • Species reactivity
    Human, Mouse
  • Alternative names
    WDR77 antibody; HKMT1069 antibody; MEP-50 antibody; MEP50 antibody; Nbla10071 antibody; p44 antibody; p44/Mep50 antibody; WD repeat domain 77 antibody
  • Isotype
    Rabbit IgG
  • Preparation
    Antigen: Recombinant fusion protein containing a sequence corresponding to amino acids 1-260 of human WDR77 (NP_077007.1).
  • Clonality
    Polyclonal
  • Formulation
    PBS with 0.02% sodium azide, 50% glycerol, pH7.3.
  • Storage instructions
    Store at -20℃. Avoid freeze / thaw cycles.
  • Applications
    WB 1:500 - 1:2000
    IHC 1:50 - 1:200
    IF 1:50 - 1:100
  • Validations

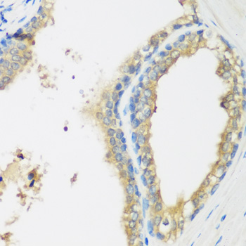
    Immunohistochemistry - WDR77 Polyclonal Antibody

    Immunohistochemistry - WDR77 Polyclonal Antibody

    Immunohistochemistry of paraffin-embedded human prostate using WDR77 antibody at dilution of 1:200 (40x lens).

    Immunohistochemistry - WDR77 Polyclonal Antibody

    Immunohistochemistry - WDR77 Polyclonal Antibody

    Immunohistochemistry of paraffin-embedded mouse heart using WDR77 antibody at dilution of 1:200 (40x lens).

    Immunofluorescence - WDR77 Polyclonal Antibody

    Immunofluorescence - WDR77 Polyclonal Antibody

    Immunofluorescence analysis of A-549 cells using WDR77 antibody . Blue: DAPI for nuclear staining.

  • Background
    Non-catalytic component of the methylosome complex, composed of PRMT5, WDR77 and CLNS1A, which modifies specific arginines to dimethylarginines in several spliceosomal Sm proteins and histones. This modification targets Sm proteins to the survival of motor neurons (SMN) complex for assembly into small nuclear ribonucleoprotein core particles. Might play a role in transcription regulation. The methylosome complex also methylates the Piwi proteins (PIWIL1, PIWIL2 and PIWIL4), methylation of Piwi proteins being required for the interaction with Tudor domain-containing proteins and subsequent localization to the meiotic nuage.

Please note: All products are "FOR RESEARCH USE ONLY AND ARE NOT INTENDED FOR DIAGNOSTIC OR THERAPEUTIC USE"