TRIM24 antibody

Cat.#: 116306

Size:

Special Price 239.0 USD

Availability: In Stock
- +

Add to cart to get an online quotation

Product Information

  • Product Name
    TRIM24 antibody
  • Documents
  • Description
    TRIM24 Rabbit Polyclonal antibody. Positive IP detected in MCF-7 cells. Positive WB detected in HeLa cells, BGC-823 cells, human heart tissue, L02 cells, MCF7 cells, mouse skeletal muscle tissue. Positive IF detected in HeLa cells. Positive IHC detected in human prostate cancer tissue. Observed molecular weight by Western-blot: 116 kDa
  • Tested applications
    ELISA, WB, IHC, IP, IF
  • Species reactivity
    Human,Mouse,Rat; other species not tested.
  • Alternative names
    hTIF1 antibody; PTC6 antibody; RING finger protein 82 antibody; RNF82 antibody; TF1A antibody; TIF1 antibody; TIF1 alpha antibody; TIF1A antibody; TIF1ALPHA antibody; TRIM24 antibody; tripartite motif containing 24 antibody
  • Immunogen
  • Isotype
    Rabbit IgG
  • Preparation
    This antibody was obtained by immunization of TRIM24 recombinant protein (Accession Number: NM_015905). Purification method: Antigen affinity purified.
  • Clonality
    Polyclonal
  • Formulation
    PBS with 0.02% sodium azide and 50% glycerol pH 7.3.
  • Storage instructions
    Store at -20℃. DO NOT ALIQUOT
  • Applications

    Recommended Dilution:

    WB: 1:500-1:5000

    IP: 1:200-1:2000

    IHC: 1:20-1:200

    IF: 1:50-1:500

  • Validations

    HeLa cells were subjected to SDS PAGE followed by western blot with Catalog No:116306(TRIM24 antibody) at dilution of 1:500

    HeLa cells were subjected to SDS PAGE followed by western blot with Catalog No:116306(TRIM24 antibody) at dilution of 1:500

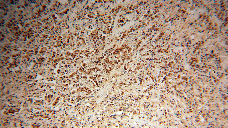
    Immunohistochemical of paraffin-embedded human prostate cancer using Catalog No:116306(TRIM24 antibody) at dilution of 1:100 (under 10x lens)

    Immunohistochemical of paraffin-embedded human prostate cancer using Catalog No:116306(TRIM24 antibody) at dilution of 1:100 (under 10x lens)

    Immunohistochemical of paraffin-embedded human prostate cancer using Catalog No:116306(TRIM24 antibody) at dilution of 1:100 (under 40x lens)

    Immunohistochemical of paraffin-embedded human prostate cancer using Catalog No:116306(TRIM24 antibody) at dilution of 1:100 (under 40x lens)

    IP Result of anti-TRIM24 (IP:Catalog No:116306, 4ug; Detection:Catalog No:116306 1:800) with MCF-7 cells lysate 4000ug.

    IP Result of anti-TRIM24 (IP:Catalog No:116306, 4ug; Detection:Catalog No:116306 1:800) with MCF-7 cells lysate 4000ug.

    Immunofluorescent analysis of (10% Formaldehyde) fixed HeLa cells using Catalog No:116306(TRIM24 Antibody) at dilution of 1:50 and Alexa Fluor 488-congugated AffiniPure Goat Anti-Rabbit IgG(H+L)

    Immunofluorescent analysis of (10% Formaldehyde) fixed HeLa cells using Catalog No:116306(TRIM24 Antibody) at dilution of 1:50 and Alexa Fluor 488-congugated AffiniPure Goat Anti-Rabbit IgG(H+L)

  • Background
    TRIM24, also named as RNF82, TIF1 and TIF1A, interacts selectively in vitro with the AF2-activating domain of the estrogen receptors. Association with DNA-bound estrogen receptors, it requires the presence of estradiol. It is a regulation protein of P53. Defects in TRIM24 are a cause of thyroid papillary carcinoma (TPC) wich is a common tumor of the thyroid that typically arises as an irregular, solid or cystic mass from otherwise normal thyroid tissue.
  • References
    • Li H, Sun L, Tang Z. Overexpression of TRIM24 correlates with tumor progression in non-small cell lung cancer. PloS one. 7(5):e37657. 2012.
    • Cui Z, Cao W, Li J, Song X, Mao L, Chen W. TRIM24 overexpression is common in locally advanced head and neck squamous cell carcinoma and correlates with aggressive malignant phenotypes. PloS one. 8(5):e63887. 2013.
    • Pathiraja TN, Thakkar KN, Jiang S. TRIM24 links glucose metabolism with transformation of human mammary epithelial cells. Oncogene. 34(22):2836-45. 2015.
    • Miao ZF, Wang ZN, Zhao TT. TRIM24 is upregulated in human gastric cancer and promotes gastric cancer cell growth and chemoresistance. Virchows Archiv : an international journal of pathology. 466(5):525-32. 2015.
    • Xue D, Zhang X, Zhang X. Clinical significance and biological roles of TRIM24 in human bladder carcinoma. Tumour biology : the journal of the International Society for Oncodevelopmental Biology and Medicine. 36(9):6849-55. 2015.
    • Zhan Y, Kost-Alimova M, Shi X. Development of novel cellular histone-binding and chromatin-displacement assays for bromodomain drug discovery. Epigenetics & chromatin. 8:37. 2015.
    • Tsai WW, Wang Z, Yiu TT. TRIM24 links a non-canonical histone signature to breast cancer. Nature. 468(7326):927-32. 2010.

Please note: All products are "FOR RESEARCH USE ONLY AND ARE NOT INTENDED FOR DIAGNOSTIC OR THERAPEUTIC USE"