SRSF1 Polyclonal Antibody

Cat.#: 163224

Special Price 226.5 USD

Availability: In Stock
- +

Add to cart to get an online quotation

Product Information

  • Product Name
    SRSF1 Polyclonal Antibody
  • Documents
  • Description
    Polyclonal antibody to SRSF1
  • Tested applications
    WB, IHC, IF
  • Species reactivity
    Human, Mouse, Rat
  • Alternative names
    SRSF1 antibody; ASF antibody; SF2 antibody; SF2p33 antibody; SFRS1 antibody; SRp30a antibody; serine/arginine-rich splicing factor 1 antibody
  • Isotype
    Rabbit IgG
  • Preparation
    Antigen: Recombinant fusion protein containing a sequence corresponding to amino acids 1-248 of human SRSF1 (NP_008855.1).
  • Clonality
    Polyclonal
  • Formulation
    PBS with 0.02% sodium azide, 50% glycerol, pH7.3.
  • Storage instructions
    Store at -20℃. Avoid freeze / thaw cycles.
  • Applications
    WB 1:500 - 1:2000
    IHC 1:50 - 1:200
    IF 1:50 - 1:200
  • Validations

    Western blot - SRSF1 Polyclonal Antibody

    Western blot - SRSF1 Polyclonal Antibody

    Western blot analysis of extracts of various cell lines, using SRSF1 antibody at 1:1000 dilution.Secondary antibody: HRP Goat Anti-Rabbit IgG (H+L) at 1:10000 dilution.Lysates/proteins: 25ug per lane.Blocking buffer: 3% nonfat dry milk in TBST.

    Immunohistochemistry - SRSF1 Polyclonal Antibody

    Immunohistochemistry - SRSF1 Polyclonal Antibody

    Immunohistochemistry of paraffin-embedded rat lung using SRSF1 Antibody at dilution of 1:100 (40x lens).

    Immunohistochemistry - SRSF1 Polyclonal Antibody

    Immunohistochemistry - SRSF1 Polyclonal Antibody

    Immunohistochemistry of paraffin-embedded human lung cancer using SRSF1 Antibody at dilution of 1:100 (40x lens).

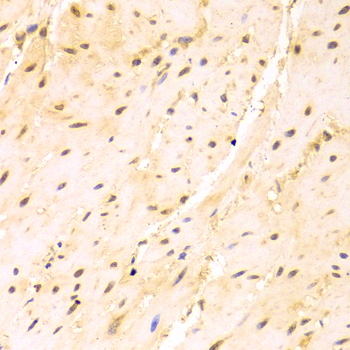
    Immunohistochemistry - SRSF1 Polyclonal Antibody

    Immunohistochemistry - SRSF1 Polyclonal Antibody

    Immunohistochemistry of paraffin-embedded mouse esophagus using SRSF1 Antibody at dilution of 1:100 (40x lens).

    Immunofluorescence - SRSF1 Polyclonal Antibody

    Immunofluorescence - SRSF1 Polyclonal Antibody

    Immunofluorescence analysis of U2OS cells using SRSF1 antibody . Blue: DAPI for nuclear staining.

  • Background
    Plays a role in preventing exon skipping, ensuring the accuracy of splicing and regulating alternative splicing. Interacts with other spliceosomal components, via the RS domains, to form a bridge between the 5'- and 3'-splice site binding components, U1 snRNP and U2AF. Can stimulate binding of U1 snRNP to a 5'-splice site-containing pre-mRNA. Binds to purine-rich RNA sequences, either the octamer, 5'-RGAAGAAC-3' (r=A or G) or the decamers, AGGACAGAGC/AGGACGAAGC. Binds preferentially to the 5'-CGAGGCG-3' motif in vitro. Three copies of the octamer constitute a powerful splicing enhancer in vitro, the ASF/SF2 splicing enhancer (ASE) which can specifically activate ASE-dependent splicing. Isoform ASF-2 and isoform ASF-3 act as splicing repressors. May function as export adapter involved in mRNA nuclear export through the TAP/NXF1 pathway.

Please note: All products are "FOR RESEARCH USE ONLY AND ARE NOT INTENDED FOR DIAGNOSTIC OR THERAPEUTIC USE"