Somatostatin-Specific antibody

Cat.#: 115499

Size:

Special Price 239.0 USD

Availability: In Stock
- +

Add to cart to get an online quotation

Product Information

  • Product Name
    Somatostatin-Specific antibody
  • Documents
  • Description
    Somatostatin-Specific Rabbit Polyclonal antibody. Positive IHC detected in human pancreas tissue, human liver tissue, human lung tissue, human ovary tissue, human spleen tissue, human testis tissue. Positive WB detected in human heart tissue, HeLa cells, human stomach tissue. Observed molecular weight by Western-blot: 17 kDa
  • Tested applications
    ELISA, WB, IHC
  • Species reactivity
    Human,Mouse,Rat; other species not tested.
  • Alternative names
    SMST antibody; somatostatin antibody; SST antibody
  • Isotype
    Rabbit IgG
  • Preparation
    This antibody was obtained by immunization of Peptide (Accession Number: NM_001048). Purification method: Antigen affinity purified.
  • Clonality
    Polyclonal
  • Formulation
    PBS with 0.02% sodium azide and 50% glycerol pH 7.3.
  • Storage instructions
    Store at -20℃. DO NOT ALIQUOT
  • Applications

    Recommended Dilution:

    WB: 1:200-1:2000

    IHC: 1:20-1:200

  • Validations

    human heart tissue were subjected to SDS PAGE followed by western blot with Catalog No:115499(SST-Specific antibody) at dilution of 1:500

    human heart tissue were subjected to SDS PAGE followed by western blot with Catalog No:115499(SST-Specific antibody) at dilution of 1:500

    Immunohistochemistry of paraffin-embedded human pancreas tissue slide using Catalog No:115499(SST-Specific Antibody) at dilution of 1:200 (under 10x lens).

    Immunohistochemistry of paraffin-embedded human pancreas tissue slide using Catalog No:115499(SST-Specific Antibody) at dilution of 1:200 (under 10x lens).

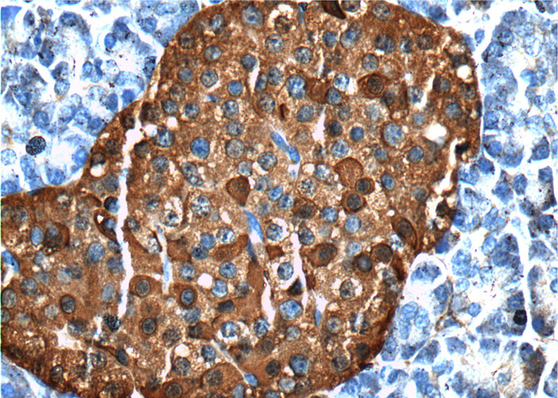
    Immunohistochemistry of paraffin-embedded human pancreas tissue slide using Catalog No:115499(SST-Specific Antibody) at dilution of 1:200 (under 40x lens).

    Immunohistochemistry of paraffin-embedded human pancreas tissue slide using Catalog No:115499(SST-Specific Antibody) at dilution of 1:200 (under 40x lens).

  • Background
    SST represents somatostatin

Please note: All products are "FOR RESEARCH USE ONLY AND ARE NOT INTENDED FOR DIAGNOSTIC OR THERAPEUTIC USE"