-
Product Name
NRBF2 Polyclonal Antibody
- Documents
-
Description
Polyclonal antibody to NRBF2
-
Tested applications
WB, IF
-
Species reactivity
Human, Mouse, Rat
-
Alternative names
NRBF2 antibody; COPR antibody; COPR1 antibody; COPR2 antibody; NRBF-2 antibody; nuclear receptor-binding factor 2 antibody
-
Isotype
Rabbit IgG
-
Preparation
Antigen: Recombinant fusion protein containing a sequence corresponding to amino acids 10-220 of human NRBF2 (NP_110386.2).
-
Clonality
Polyclonal
-
Formulation
PBS with 0.02% sodium azide, 50% glycerol, pH7.3.
-
Storage instructions
Store at -20℃. Avoid freeze / thaw cycles.
-
Applications
WB 1:500 - 1:2000
IF 1:10 - 1:100 -
Validations
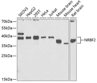
Western blot - NRBF2 Polyclonal Antibody
Western blot analysis of extracts of various cell lines, using NRBF2 antibody at 1:1000 dilution._Secondary antibody: HRP Goat Anti-Rabbit IgG (H+L) at 1:10000 dilution._Lysates/proteins: 25ug per lane._Blocking buffer: 3% nonfat dry milk in TBST._Detection: ECL Enhanced Kit ._Exposure time: 90s.
Immunofluorescence - NRBF2 Polyclonal Antibody
Immunofluorescence analysis of U2OS cells using NRBF2 antibody . Blue: DAPI for nuclear staining.
-
Background
May modulate transcriptional activation by target nuclear receptors. Can act as transcriptional activator (in vitro).; Involved in starvation-induced autophagy probably by its association with PI3K complex I (PI3KC3-C1). However, effects has been described variably. Involved in the induction of starvation-induced autophagy. Stabilzes PI3KC3-C1 assembly and enhances ATG14-linked lipid kinase activity of PIK3C3 (By similarity). Proposed to negatively regulate basal and starvation-induced autophagy and to inhibit PIK3C3 activity by modulating interactions in PI3KC3-C1. May be involved in autophagosome biogenesis. May play a role in neural progenitor cell survival during differentiation (By similarity).
Related Products / Services
Please note: All products are "FOR RESEARCH USE ONLY AND ARE NOT INTENDED FOR DIAGNOSTIC OR THERAPEUTIC USE"