NRBF2 Polyclonal Antibody

Cat.#: 161621

Special Price 226.5 USD

Availability: In Stock
- +

Add to cart to get an online quotation

Product Information

  • Product Name
    NRBF2 Polyclonal Antibody
  • Documents
  • Description
    Polyclonal antibody to NRBF2
  • Tested applications
    WB, IHC, IF
  • Species reactivity
    Human, Rat
  • Alternative names
    NRBF2 antibody; COPR antibody; COPR1 antibody; COPR2 antibody; NRBF-2 antibody; nuclear receptor-binding factor 2 antibody
  • Isotype
    Rabbit IgG
  • Preparation
    Antigen: Recombinant fusion protein containing a sequence corresponding to amino acids 10-220 of human NRBF2 (NP_110386.2).
  • Clonality
    Polyclonal
  • Formulation
    PBS with 0.02% sodium azide, 50% glycerol, pH7.3.
  • Storage instructions
    Store at -20℃. Avoid freeze / thaw cycles.
  • Applications
    WB 1:500 - 1:2000
    IHC 1:50 - 1:200
    IF 1:50 - 1:200
  • Validations

    Western blot - NRBF2 Polyclonal Antibody

    Western blot - NRBF2 Polyclonal Antibody

    Western blot analysis of extracts of various cell lines, using NRBF2 antibody at 1:1000 dilution.Secondary antibody: HRP Goat Anti-Rabbit IgG (H+L) at 1:10000 dilution.Lysates/proteins: 25ug per lane.Blocking buffer: 3% nonfat dry milk in TBST.Detection: ECL Enhanced Kit .Exposure time: 90s.

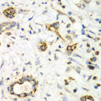
    Immunohistochemistry - NRBF2 Polyclonal Antibody

    Immunohistochemistry - NRBF2 Polyclonal Antibody

    Immunohistochemistry of paraffin-embedded human liver cancer using NRBF2 antibody at dilution of 1:100 (40x lens).

    Immunofluorescence - NRBF2 Polyclonal Antibody

    Immunofluorescence - NRBF2 Polyclonal Antibody

    Immunofluorescence analysis of MCF7 cells using NRBF2 antibody . Blue: DAPI for nuclear staining.

  • Background
    May modulate transcriptional activation by target nuclear receptors. Can act as transcriptional activator (in vitro).; Involved in starvation-induced autophagy probably by its association with PI3K complex I (PI3KC3-C1). However, effects has been described variably. Involved in the induction of starvation-induced autophagy. Stabilzes PI3KC3-C1 assembly and enhances ATG14-linked lipid kinase activity of PIK3C3 (By similarity). Proposed to negatively regulate basal and starvation-induced autophagy and to inhibit PIK3C3 activity by modulating interactions in PI3KC3-C1. May be involved in autophagosome biogenesis. May play a role in neural progenitor cell survival during differentiation (By similarity).

Please note: All products are "FOR RESEARCH USE ONLY AND ARE NOT INTENDED FOR DIAGNOSTIC OR THERAPEUTIC USE"