NLRC4 Polyclonal Antibody

Cat.#: 165345

Special Price 226.5 USD

Availability: In Stock
- +

Add to cart to get an online quotation

Product Information

  • Product Name
    NLRC4 Polyclonal Antibody
  • Documents
  • Description
    Polyclonal antibody to NLRC4
  • Tested applications
    WB, IHC, IF
  • Species reactivity
    Human, Mouse, Rat
  • Alternative names
    NLRC4 antibody; AIFEC antibody; CARD12 antibody; CLAN antibody; CLAN1 antibody; CLANA antibody; CLANB antibody; CLANC antibody; CLAND antibody; CLR2.1 antibody; FCAS4 antibody; IPAF antibody; NLR family CARD domain containing 4 antibody
  • Isotype
    Rabbit IgG
  • Preparation
    Antigen: Recombinant fusion protein containing a sequence corresponding to amino acids 1-250 of human NLRC4 (NP_067032.3).
  • Clonality
    Polyclonal
  • Formulation
    PBS with 0.02% sodium azide, 50% glycerol, pH7.3.
  • Storage instructions
    Store at -20℃. Avoid freeze / thaw cycles.
  • Applications
    WB 1:500 - 1:2000
    IHC 1:50 - 1:200
    IF 1:50 - 1:200
  • Validations

    Western blot - NLRC4 Polyclonal Antibody

    Western blot - NLRC4 Polyclonal Antibody

    Western blot analysis of extracts of various cell lines, using NLRC4 antibody at 1:1000 dilution.Secondary antibody: HRP Goat Anti-Rabbit IgG (H+L) at 1:10000 dilution.Lysates/proteins: 25ug per lane.Blocking buffer: 3% nonfat dry milk in TBST.Detection: ECL Basic Kit .Exposure time: 90s.

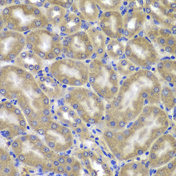
    Immunohistochemistry - NLRC4 Polyclonal Antibody

    Immunohistochemistry - NLRC4 Polyclonal Antibody

    Immunohistochemistry of paraffin-embedded mouse kidney using NLRC4 antibody at dilution of 1:100 (40x lens).

    Immunofluorescence - NLRC4 Polyclonal Antibody

    Immunofluorescence - NLRC4 Polyclonal Antibody

    Immunofluorescence analysis of A549 cells using NLRC4 antibody . Blue: DAPI for nuclear staining.

  • Background
    Key component of inflammasomes that indirectly senses specific proteins from pathogenic bacteria and fungi and responds by assembling an inflammasome complex that promotes caspase-1 activation, cytokine production and macrophage pyroptosis. The NLRC4 inflammasome is activated as part of the innate immune response to a range of intracellular bacteria (By similarity).

Please note: All products are "FOR RESEARCH USE ONLY AND ARE NOT INTENDED FOR DIAGNOSTIC OR THERAPEUTIC USE"