Nestin Polyclonal Antibody

Cat.#: 160879

Special Price 226.5 USD

Availability: In Stock
- +

Add to cart to get an online quotation

Product Information

  • Product Name
    Nestin Polyclonal Antibody
  • Documents
  • Description
    Polyclonal antibody to Nestin
  • Tested applications
    WB, IHC, IF
  • Species reactivity
    Human, Mouse, Rat
  • Alternative names
    NES antibody; Nbla00170 antibody; nestin antibody
  • Isotype
    Rabbit IgG
  • Preparation
    Antigen: Recombinant fusion protein containing a sequence corresponding to amino acids 1392-1621 of human Nestin (NP_006608.1).
  • Clonality
    Polyclonal
  • Formulation
    PBS with 0.02% sodium azide, 50% glycerol, pH7.3.
  • Storage instructions
    Store at -20℃. Avoid freeze / thaw cycles.
  • Applications
    WB 1:500 - 1:1000
    IHC 1:50 - 1:100
    IF 1:50 - 1:100
  • Validations

    Western blot - Nestin Polyclonal Antibody

    Western blot - Nestin Polyclonal Antibody

    Western blot analysis of extracts of various cell lines, using Nestin antibody at 1:3000 dilution.Secondary antibody: HRP Goat Anti-Rabbit IgG (H+L) at 1:10000 dilution.Lysates/proteins: 25ug per lane.Blocking buffer: 3% nonfat dry milk in TBST.Detection: ECL Basic Kit .Exposure time: 90s.

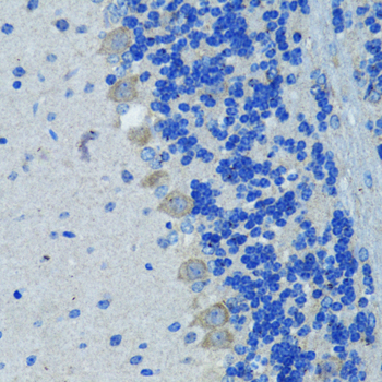
    Immunohistochemistry - Nestin Polyclonal Antibody

    Immunohistochemistry - Nestin Polyclonal Antibody

    Immunohistochemistry of paraffin-embedded mouse brain using Nestin antibody at dilution of 1:100 (40x lens).

    Immunofluorescence - Nestin Polyclonal Antibody

    Immunofluorescence - Nestin Polyclonal Antibody

    Immunofluorescence analysis of U-251MG cells using Nestin antibody at dilution of 1:100 (20x lens). Blue: DAPI for nuclear staining.

  • Background
    Required for brain and eye development. Promotes the disassembly of phosphorylated vimentin intermediate filaments (IF) during mitosis and may play a role in the trafficking and distribution of IF proteins and other cellular factors to daughter cells during progenitor cell division. Required for survival, renewal and mitogen-stimulated proliferation of neural progenitor cells (By similarity).

Please note: All products are "FOR RESEARCH USE ONLY AND ARE NOT INTENDED FOR DIAGNOSTIC OR THERAPEUTIC USE"