Anti-Nes antibody

Cat.#: 176707

Size:

Special Price 241.9 USD

Availability: In Stock
- +

Add to cart to get an online quotation

Product Information

  • Product Name
    Anti-Nes antibody
  • Documents
  • Description
    Rabbit polyclonal antibody to Nes
  • Tested applications
    IHC-P
  • Species reactivity
    Human, Mouse
  • Alternative names
    RC antibody; Ifa antibody; Mar antibody; RC2 antibody; ESTM4 antibody; Marc2 antibody; C78523 antibody; ESTM46 antibody; Ifaprc2 antibody; AA166324 antibody
  • Isotype
    Rabbit IgG
  • Preparation
    This antigen of this antibody was synthetic peptide within human nestin aa 1279-1323.
  • Clonality
    Polyclonal
  • Formulation
    Liquid, 1*PBS (pH7.4), 0.2% BSA, 40% Glycerol. Preservative: 0.05% Sodium Azide.
  • Storage instructions
    Store at +4℃ after thawing. Aliquot store at -20℃ or -80℃. Avoid repeated freeze / thaw cycles.
  • Applications

    IHC-P: 1:50-200

  • Validations

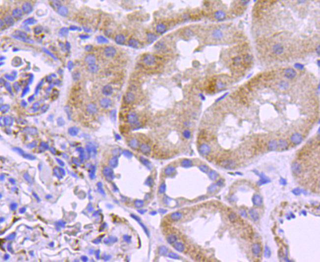
    Fig1: Immunohistochemical analysis of paraffin-embedded human kidney tissue using anti-Filamin A antibody. Counter stained with hematoxylin.

    Fig1: Immunohistochemical analysis of paraffin-embedded human kidney tissue using anti-Filamin A antibody. Counter stained with hematoxylin.

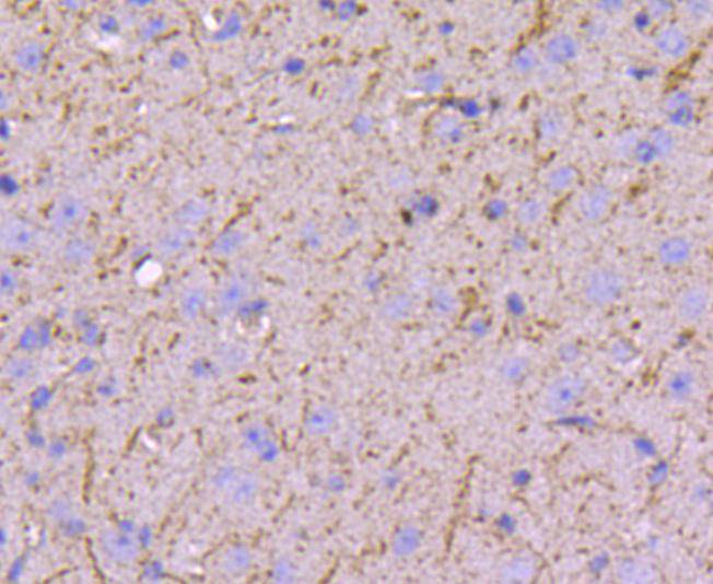
    Fig2: Immunohistochemical analysis of paraffin-embedded mouse brain tissue using anti-Filamin A antibody. Counter stained with hematoxylin.

    Fig2: Immunohistochemical analysis of paraffin-embedded mouse brain tissue using anti-Filamin A antibody. Counter stained with hematoxylin.

  • Background
  • References
    • Hornsby AK et al. Short-term calorie restriction enhances adult hippocampal neurogenesis and remote fear memory in a Ghsr-dependent manner. Psychoneuroendocrinology 63:198-207 (2016).
    • Piao Y et al. Novel MET/TIE2/VEGFR2 inhibitor altiratinib inhibits tumor growth and invasiveness in bevacizumab-resistant glioblastoma mouse models. Neuro Oncol 18:1230-41 (2016).
    • Fang L et al. Jumonji AT-rich interactive domain 1B overexpression is associated with the development and progression of glioma. Int J Mol Med 38:172-82 (2016).

Please note: All products are "FOR RESEARCH USE ONLY AND ARE NOT INTENDED FOR DIAGNOSTIC OR THERAPEUTIC USE"