MTERFD1 Polyclonal Antibody

Cat.#: 161150

Special Price 226.5 USD

Availability: In Stock
- +

Add to cart to get an online quotation

Product Information

  • Product Name
    MTERFD1 Polyclonal Antibody
  • Documents
  • Description
    Polyclonal antibody to MTERFD1
  • Tested applications
    WB
  • Species reactivity
    Human, Mouse, Rat
  • Alternative names
    MTERF3 antibody; CGI-12 antibody; MTERFD1 antibody; mitochondrial transcription termination factor 3 antibody
  • Isotype
    Rabbit IgG
  • Preparation
    Antigen: Recombinant fusion protein containing a sequence corresponding to amino acids 69-300 of human MTERFD1 (NP_057026.3).
  • Clonality
    Polyclonal
  • Formulation
    PBS with 0.02% sodium azide, 50% glycerol, pH7.3.
  • Storage instructions
    Store at -20℃. Avoid freeze / thaw cycles.
  • Applications
    WB 1:500 - 1:2000
  • Validations

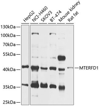
    Western blot - MTERFD1 Polyclonal Antibody

    Western blot - MTERFD1 Polyclonal Antibody

    Western blot analysis of extracts of various cell lines, using MTERFD1 antibody at 1:1000 dilution.Secondary antibody: HRP Goat Anti-Rabbit IgG (H+L) at 1:10000 dilution.Lysates/proteins: 25ug per lane.Blocking buffer: 3% nonfat dry milk in TBST.Detection: ECL Basic Kit .Exposure time: 30s.

  • Background
    Binds promoter DNA and regulates initiation of transcription. Required for normal mitochondrial transcription and translation, and for normal assembly of mitochondrial respiratory complexes. Required for normal mitochondrial function (By similarity). Maintains 16S rRNA levels and functions in mitochondrial ribosome assembly by regulating the biogenesis of the 39S ribosomal subunit (By similarity).

Please note: All products are "FOR RESEARCH USE ONLY AND ARE NOT INTENDED FOR DIAGNOSTIC OR THERAPEUTIC USE"