-
Product Name
APEX1 antibody
- Documents
-
Description
APEX1 Rabbit Polyclonal antibody. Positive IF detected in MCF-7 cells. Positive IHC detected in human breast cancer tissue. Positive WB detected in HeLa cells, mouse brain tissue. Positive IP detected in HeLa cells. Observed molecular weight by Western-blot: 36 kDa
-
Tested applications
ELISA, WB, IHC, IF, IP
-
Species reactivity
Human,Mouse,Rat; other species not tested.
-
Alternative names
AP endonuclease 1 antibody; APE antibody; APE1 antibody; APE1 antibody; APEX1 antibody; APEN antibody; APEX antibody; APEX nuclease antibody; APEX1 antibody; APX antibody; HAP1 antibody; Protein REF 1 antibody; REF1 antibody
-
Isotype
Rabbit IgG
-
Preparation
This antibody was obtained by immunization of APEX1 recombinant protein (Accession Number: NM_001244249). Purification method: Antigen affinity purified.
-
Clonality
Polyclonal
-
Formulation
PBS with 0.1% sodium azide and 50% glycerol pH 7.3.
-
Storage instructions
Store at -20℃. DO NOT ALIQUOT
-
Applications
Recommended Dilution:
WB: 1:500-1:5000
IP: 1:500-1:5000
IHC: 1:20-1:200
IF: 1:10-1:100
-
Validations
HeLa cells were subjected to SDS PAGE followed by western blot with Catalog No:108137(APEX1 antibody) at dilution of 1:1000
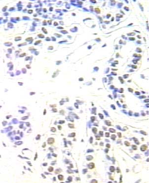
Immunohistochemical of paraffin-embedded human breast cancer using Catalog No:108137(APEX1 antibody) at dilution of 1:100 (under 25x lens)
Immunofluorescent analysis of MCF-7 cells, using APEX1 antibody Catalog No:108137 at 1:25 dilution and Rhodamine-labeled goat anti-rabbit IgG (red).
IP Result of anti-APEX1 (IP:Catalog No:108137, 4ug; Detection:Catalog No:108137 1:1000) with HeLa cells lysate 1600ug.
-
Background
APEX1, also named as APE, APE1, HAP1 and REF-1, belongs to the DNA repair enzymes AP/ExoA family. It is a multifunctional protein that plays a central role in the cellular response to oxidative stress. The two major activities of APEX1 are in DNA repair and redox regulation of transcriptional factors. APEX nuclease is a DNA repair enzyme having apurinic/apyrimidinic (AP) endonuclease, 3-prime,5-prime-exonuclease, DNA 3-prime repair diesterase, and DNA 3-prime-phosphatase activities. On the other hand, APEX1 also exerts reversible nuclear redox activity to regulate DNA binding affinity and transcriptional activity of transcriptional factors by controlling the redox status of their DNA-binding domain, such as the FOS/JUN AP-1 complex after exposure to IR. APEX1 is involved in calcium-dependent down-regulation of parathyroid hormone (PTH) expression by binding to negative calcium response elements (nCaREs). When acetylated at Lys-6 and Lys-7, APEX1 stimulates the YBX1-mediated MDR1 promoter activity, leading to drug resistance. It also acts as an endoribonuclease involved in the control of single-stranded RNA metabolism. It plays a role in regulating MYC mRNA turnover by preferentially cleaving in between UA and CA dinucleotides of the MYC coding region determinant (CRD). In association with NMD1, APEX1 plays a role in the rRNA quality control process during cell cycle progression. 10203-1-AP is a rabbit polyclonal antibody raised against full length APE1 of human origin.
-
References
- Ma H, Wang J, Abdel-Rahman SZ, Boor PJ, Khan MF. Induction of base excision repair enzymes NTH1 and APE1 in rat spleen following aniline exposure. Toxicology and applied pharmacology. 267(3):276-83. 2013.
- Masani S, Han L, Yu K. Apurinic/apyrimidinic endonuclease 1 is the essential nuclease during immunoglobulin class switch recombination. Molecular and cellular biology. 33(7):1468-73. 2013.
- Suganya R, Chakraborty A, Miriyala S, Hazra TK, Izumi T. Suppression of oxidative phosphorylation in mouse embryonic fibroblast cells deficient in apurinic/apyrimidinic endonuclease. DNA repair. 27:40-8. 2015.
- Dong H, Shi Q, Song X. Polychlorinated biphenyl quinone induces oxidative DNA damage and repair responses: The activations of NHEJ, BER and NER via ATM-p53 signaling axis. Toxicology and applied pharmacology. 286(1):10-6. 2015.
- Chen H, Li X, Li W, Zheng H. miR-130a can predict response to temozolomide in patients with glioblastoma multiforme, independently of O6-methylguanine-DNA methyltransferase. Journal of translational medicine. 13:69. 2015.
Related Products / Services
Please note: All products are "FOR RESEARCH USE ONLY AND ARE NOT INTENDED FOR DIAGNOSTIC OR THERAPEUTIC USE"