Anti-Phospho-mTOR (Ser2448) Rabbit antibody

Cat.#: 167078

Size:

Special Price 441.3 USD

Availability: In Stock
- +

Add to cart to get an online quotation

Product Information

  • Product Name
    Anti-Phospho-mTOR (Ser2448) Rabbit antibody
  • Documents
  • Description
    Phospho-mTOR (Ser2448) Rabbit polyclonal antibody
  • Tested applications
    WB, IHC-P
  • Species reactivity
    Human, Mouse
  • Alternative names
    SKS; FRAP; FRAP1; FRAP2; RAFT1; RAPT1 antibody
  • Isotype
    Rabbit IgG
  • Preparation
    Antigen: A synthetic phosphopeptide corresponding to residues surrounding Ser2448 of human mTOR
  • Clonality
    Polyclonal
  • Formulation
    Supplied in 50nM Tris-Glycine(pH 7.4), 0.15M Nacl, 40%Glycerol, 0.01% sodium azide and 0.05% BSA.
  • Storage instructions
    Store at -20°C. Stable for 12 months from date of receipt.
  • Applications

    WB: 1/1000

    IHC: 1/20

  • Validations

    Western blot detection of mTOR (Phospho-Ser2448) in 3t3 cell lysates using mTOR (Phospho-Ser2448) Rabbit pAb(1:1000 diluted).Predicted band size:289KDa.Observed band size:289KDa.

    Western blot detection of mTOR (Phospho-Ser2448) in 3t3 cell lysates using mTOR (Phospho-Ser2448) Rabbit pAb(1:1000 diluted).Predicted band size:289KDa.Observed band size:289KDa.

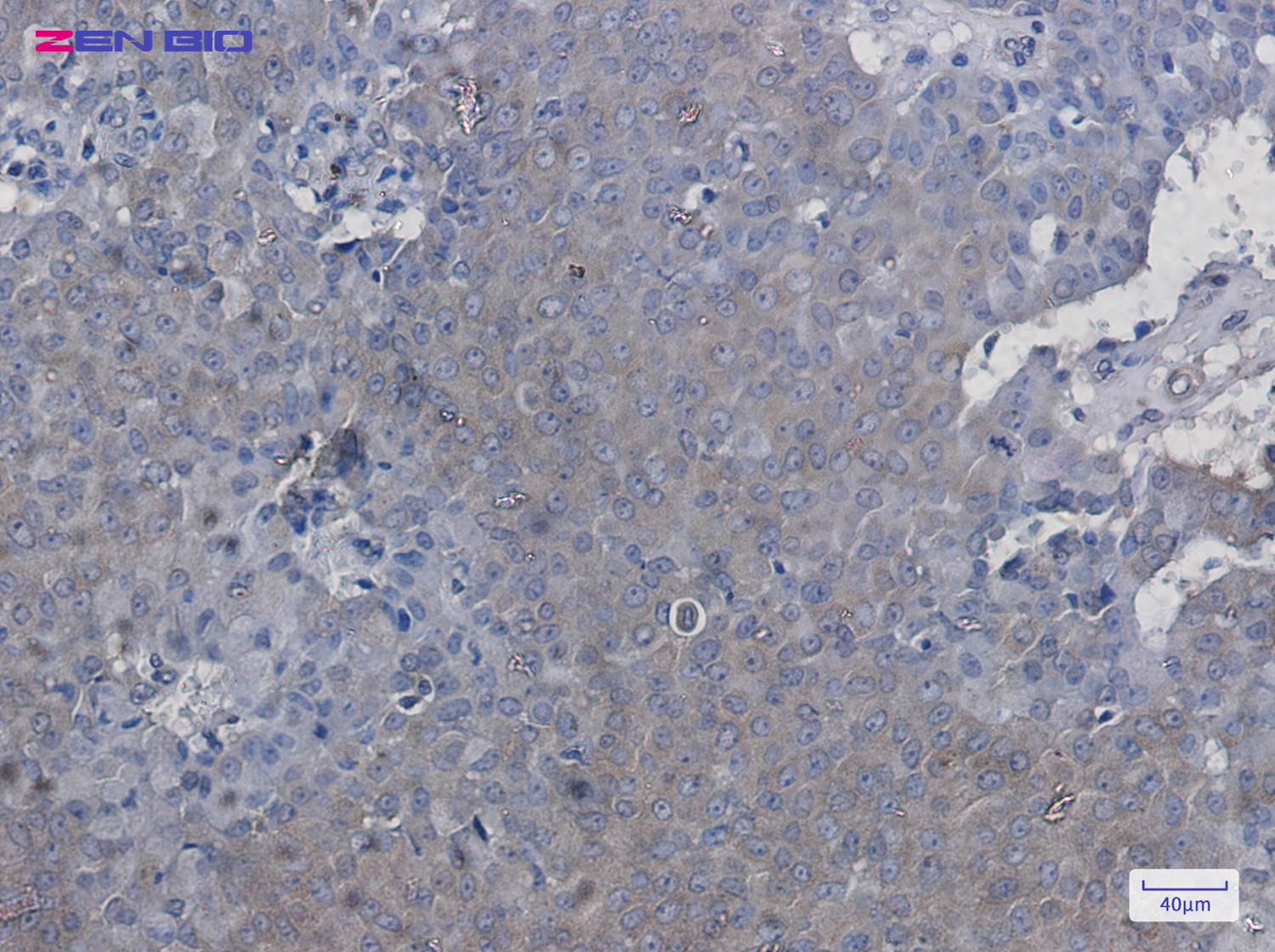
    Immunohistochemistry of mTOR (Phospho-Ser2448) in paraffin-embedded Human breast cancer tissue using mTOR (Phospho-Ser2448) Rabbit pAb at dilution 1/50

    Immunohistochemistry of mTOR (Phospho-Ser2448) in paraffin-embedded Human breast cancer tissue using mTOR (Phospho-Ser2448) Rabbit pAb at dilution 1/50

  • Background
    Swiss-Prot Acc.P42345.Serine/threonine protein kinase which is a central regulator of cellular metabolism, growth and survival in response to hormones, growth factors, nutrients, energy and stress signals. MTOR directly or indirectly regulates the phosphorylation of at least 800 proteins. Functions as part of 2 structurally and functionally distinct signaling complexes mTORC1 and mTORC2 (mTOR complex 1 and 2). Activated mTORC1 up-regulates protein synthesis by phosphorylating key regulators of mRNA translation and ribosome synthesis. This includes phosphorylation of EIF4EBP1 and release of its inhibition toward the elongation initiation factor 4E (eiF4E). Moreover, phosphorylates and activates RPS6KB1 and RPS6KB2 that promote protein synthesis by modulating the activity of their downstream targets including ribosomal protein S6, eukaryotic translation initiation factor EIF4B, and the inhibitor of translation initiation PDCD4. Stimulates the pyrimidine biosynthesis pathway, both by acute regulation through RPS6KB1-mediated phosphorylation of the biosynthetic enzyme CAD, and delayed regulation, through transcriptional enhancement of the pentose phosphate pathway which produces 5-phosphoribosyl-1-pyrophosphate (PRPP), an allosteric activator of CAD at a later step in synthesis, this function is dependent on the mTORC1 complex. Regulates ribosome synthesis by activating RNA polymerase III-dependent transcription through phosphorylation and inhibition of MAF1 an RNA polymerase III-repressor. In parallel to protein synthesis, also regulates lipid synthesis through SREBF1/SREBP1 and LPIN1. To maintain energy homeostasis mTORC1 may also regulate mitochondrial biogenesis through regulation of PPARGC1A. mTORC1 also negatively regulates autophagy through phosphorylation of ULK1. Under nutrient sufficiency, phosphorylates ULK1 at 'Ser-758', disrupting the interaction with AMPK and preventing activation of ULK1. Also prevents autophagy through phosphorylation of the autophagy inhibitor DAP. mTORC1 exerts a feedback control on upstream growth factor signaling that includes phosphorylation and activation of GRB10 a INSR-dependent signaling suppressor. Among other potential targets mTORC1 may phosphorylate CLIP1 and regulate microtubules. As part of the mTORC2 complex MTOR may regulate other cellular processes including survival and organization of the cytoskeleton. Plays a critical role in the phosphorylation at 'Ser-473' of AKT1, a pro-survival effector of phosphoinositide 3-kinase, facilitating its activation by PDK1. mTORC2 may regulate the actin cytoskeleton, through phosphorylation of PRKCA, PXN and activation of the Rho-type guanine nucleotide exchange factors RHOA and RAC1A or RAC1B. mTORC2 also regulates the phosphorylation of SGK1 at 'Ser-422' (PubMed:12087098, PubMed:12150925, PubMed:12150926, PubMed:12231510, PubMed:12718876, PubMed:14651849, PubMed:15268862, PubMed:15467718, PubMed:15545625, PubMed:15718470, PubMed:18497260, PubMed:18762023, PubMed:18925875, PubMed:20516213, PubMed:20537536, PubMed:21659604, PubMed:23429703, PubMed:23429704, PubMed:25799227, PubMed:26018084). Regulates osteoclastogenesis by adjusting the expression of CEBPB isoforms .

Please note: All products are "FOR RESEARCH USE ONLY AND ARE NOT INTENDED FOR DIAGNOSTIC OR THERAPEUTIC USE"