Anti-HSP90 (2B4) Mouse antibody

Cat.#: 168316

Size:

Special Price 441.3 USD

Availability: In Stock
- +

Add to cart to get an online quotation

Product Information

  • Product Name
    Anti-HSP90 (2B4) Mouse antibody
  • Documents
  • Description
    HSP90 (2B4) Mouse monoclonal antibody
  • Tested applications
    WB, IHC-P
  • Species reactivity
    Human, Mouse, Rat, Monkey
  • Isotype
    Mouse IgG1
  • Preparation
    Antigen: Purified recombinant fragment of human HSP90AB1 expressed in E. Coli.
  • Clonality
    Monoclonal
  • Formulation
    Ascitic fluid containing 0.03% sodium azide.
  • Storage instructions
    Store at 4°C short term. Store at -20°C long term. Avoid freeze / thaw cycle.
  • Applications

    WB: 1/500 - 1/2000

    IHC: 1/200 - 1/1000

    ELISA: 1/10000

  • Validations

    Western blot detection of HSP90β in THP-1,MCF7,HCT116,Jurkat and Raji cell lysates using HSP90β mouse mAb (1:5000 diluted).Predicted band size:84KDa.Observed band size:90KDa.

    Western blot detection of HSP90β in THP-1,MCF7,HCT116,Jurkat and Raji cell lysates using HSP90β mouse mAb (1:5000 diluted).Predicted band size:84KDa.Observed band size:90KDa.

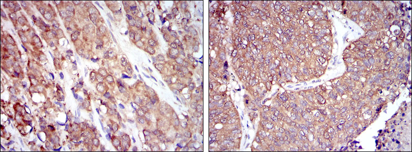
    Immunohistochemical analysis of paraffin-embedded prostate cancer tissues (left) and lung cancer tissues (right) using HSP90AB1 mouse mAb with DAB staining.

    Immunohistochemical analysis of paraffin-embedded prostate cancer tissues (left) and lung cancer tissues (right) using HSP90AB1 mouse mAb with DAB staining.

  • Background
    Swiss-Prot Acc.P08238.HSP90 proteins are highly conserved molecular chaperones that have key roles in signal transduction, protein folding, protein degradation, and morphologic evolution. HSP90 proteins normally associate with other cochaperones and play important roles in folding newly synthesized proteins or stabilizing and refolding denatured proteins after stress. There are 2 major cytosolic HSP90 proteins, HSP90AA1 (MIM 140571), an inducible form, and HSP90AB1, a constitutive form.

Please note: All products are "FOR RESEARCH USE ONLY AND ARE NOT INTENDED FOR DIAGNOSTIC OR THERAPEUTIC USE"