Anti-A2M antibody

Cat.#: 176669

Size:

Special Price 241.9 USD

Availability: In Stock
- +

Add to cart to get an online quotation

Product Information

  • Product Name
    Anti-A2M antibody
  • Documents
  • Description
    Mouse monoclonal antibody to A2M
  • Tested applications
    IHC-P, ELISA
  • Species reactivity
    Human
  • Alternative names
    A2MD antibody; CPAMD5 antibody; FWP007 antibody; S863-7 antibody
  • Isotype
    Mouse IgG2c
  • Preparation
    This antigen of this antibody was recombinant protein within human alpha-2-macroglobulin aa 950-1200.
  • Clonality
    Monoclonal
  • Formulation
    Liquid, 1*PBS (pH7.4), 0.2% BSA, 40% Glycerol. Preservative: 0.05% Sodium Azide.
  • Storage instructions
    Store at +4℃ after thawing. Aliquot store at -20℃ or -80℃. Avoid repeated freeze / thaw cycles.
  • Applications

    IHC-P: 1:50-1:200

  • Validations

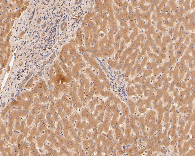
    Fig1:; Immunohistochemical analysis of paraffin-embedded human liver tissue using anti-Alpha-2-macroglobulin antibody. The section was pre-treated using heat mediated antigen retrieval with Tris-EDTA buffer (pH 8.0-8.4) for 20 minutes.The tissues were blocked in 5% BSA for 30 minutes at room temperature, washed with ddH; 2; O and PBS, and then probed with the primary antibody ( 1/100) for 30 minutes at room temperature. The detection was performed using an HRP conjugated compact polymer system. DAB was used as the chromogen. Tissues were counterstained with hematoxylin and mounted with DPX.

    Fig1:; Immunohistochemical analysis of paraffin-embedded human liver tissue using anti-Alpha-2-macroglobulin antibody. The section was pre-treated using heat mediated antigen retrieval with Tris-EDTA buffer (pH 8.0-8.4) for 20 minutes.The tissues were blocked in 5% BSA for 30 minutes at room temperature, washed with ddH; 2; O and PBS, and then probed with the primary antibody ( 1/100) for 30 minutes at room temperature. The detection was performed using an HRP conjugated compact polymer system. DAB was used as the chromogen. Tissues were counterstained with hematoxylin and mounted with DPX.

  • Background
  • References
    • Sottrup-Jensen L et al. Primary structure of human alpha 2-macroglobulin. V. The complete structure. J Biol Chem 259:8318-8327 (1984).
    • Liu T et al. Human plasma N-glycoproteome analysis by immunoaffinity subtraction, hydrazide chemistry, and mass spectrometry. J Proteome Res 4:2070-2080 (2005).

Please note: All products are "FOR RESEARCH USE ONLY AND ARE NOT INTENDED FOR DIAGNOSTIC OR THERAPEUTIC USE"