ZEB2 Polyclonal Antibody

Cat.#: 164601

Special Price 226.5 USD

Availability: In Stock
- +

Add to cart to get an online quotation

Product Information

  • Product Name
    ZEB2 Polyclonal Antibody
  • Documents
  • Description
    Polyclonal antibody to ZEB2
  • Tested applications
    WB, IHC, IF
  • Species reactivity
    Human, Mouse, Rat
  • Alternative names
    ZEB2 antibody; HSPC082 antibody; SIP-1 antibody; SIP1 antibody; SMADIP1 antibody; ZFHX1B antibody; zinc finger E-box-binding homeobox 2 antibody
  • Isotype
    Rabbit IgG
  • Preparation
    Antigen: Recombinant fusion protein containing a sequence corresponding to amino acids 1050-1214 of human ZEB2 (NP_055610.1).
  • Clonality
    Polyclonal
  • Formulation
    PBS with 0.02% sodium azide, 50% glycerol, pH7.3.
  • Storage instructions
    Store at -20℃. Avoid freeze / thaw cycles.
  • Applications
    WB 1:500 - 1:2000
    IHC 1:50 - 1:200
    IF 1:50 - 1:200
  • Validations

    Western blot - ZEB2 Polyclonal Antibody

    Western blot - ZEB2 Polyclonal Antibody

    Western blot analysis of extracts of various cell lines, using ZEB2 antibody at 1:1000 dilution.Secondary antibody: HRP Goat Anti-Rabbit IgG (H+L) at 1:10000 dilution.Lysates/proteins: 25ug per lane.Blocking buffer: 3% nonfat dry milk in TBST.Detection: ECL Basic Kit .Exposure time: 90s.

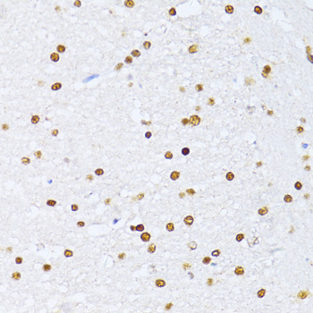
    Immunohistochemistry - ZEB2 Polyclonal Antibody

    Immunohistochemistry - ZEB2 Polyclonal Antibody

    Immunohistochemistry of paraffin-embedded rat brain using ZEB2 antibody at dilution of 1:100 (40x lens).

    Immunohistochemistry - ZEB2 Polyclonal Antibody

    Immunohistochemistry - ZEB2 Polyclonal Antibody

    Immunohistochemistry of paraffin-embedded human breast using ZEB2 antibody at dilution of 1:100 (40x lens).

    Immunohistochemistry - ZEB2 Polyclonal Antibody

    Immunohistochemistry - ZEB2 Polyclonal Antibody

    Immunohistochemistry of paraffin-embedded mouse liver using ZEB2 antibody at dilution of 1:100 (40x lens).

    Immunohistochemistry - ZEB2 Polyclonal Antibody

    Immunohistochemistry - ZEB2 Polyclonal Antibody

    Immunohistochemistry of paraffin-embedded mouse testis using ZEB2 antibody at dilution of 1:100 (40x lens).

    Immunohistochemistry - ZEB2 Polyclonal Antibody

    Immunohistochemistry - ZEB2 Polyclonal Antibody

    Immunohistochemistry of paraffin-embedded mouse spinal cord using ZEB2 antibody at dilution of 1:100 (40x lens).

    Immunohistochemistry - ZEB2 Polyclonal Antibody

    Immunohistochemistry - ZEB2 Polyclonal Antibody

    Immunohistochemistry of paraffin-embedded mouse brain using ZEB2 antibody at dilution of 1:100 (40x lens).

    Immunofluorescence - ZEB2 Polyclonal Antibody

    Immunofluorescence - ZEB2 Polyclonal Antibody

    Immunofluorescence analysis of C6 cells using ZEB2 antibody at dilution of 1:100. Blue: DAPI for nuclear staining.

    Immunofluorescence - ZEB2 Polyclonal Antibody

    Immunofluorescence - ZEB2 Polyclonal Antibody

    Immunofluorescence analysis of NIH/3T3 cells using ZEB2 antibody at dilution of 1:100. Blue: DAPI for nuclear staining.

  • Background
    Transcriptional inhibitor that binds to DNA sequence 5'-CACCT-3' in different promoters. Represses transcription of E-cadherin.

Please note: All products are "FOR RESEARCH USE ONLY AND ARE NOT INTENDED FOR DIAGNOSTIC OR THERAPEUTIC USE"