ZBTB17 Polyclonal Antibody

Cat.#: 165888

Special Price 226.5 USD

Availability: In Stock
- +

Add to cart to get an online quotation

Product Information

  • Product Name
    ZBTB17 Polyclonal Antibody
  • Documents
  • Description
    Polyclonal antibody to ZBTB17
  • Tested applications
    WB, IHC
  • Species reactivity
    Human, Mouse, Rat
  • Alternative names
    ZBTB17 antibody; MIZ-1 antibody; ZNF151 antibody; ZNF60 antibody; pHZ-67 antibody; zinc finger and BTB domain containing 17 antibody
  • Isotype
    Rabbit IgG
  • Preparation
    Antigen: Recombinant fusion protein containing a sequence corresponding to amino acids 121-360 of human ZBTB17 (NP_003434.2).
  • Clonality
    Polyclonal
  • Formulation
    PBS with 0.02% sodium azide, 50% glycerol, pH7.3.
  • Storage instructions
    Store at -20℃. Avoid freeze / thaw cycles.
  • Applications
    WB 1:500 - 1:2000
    IHC 1:100 - 1:200
  • Validations

    Western blot - ZBTB17 Polyclonal Antibody

    Western blot - ZBTB17 Polyclonal Antibody

    Western blot analysis of extracts of various cell lines, using ZBTB17 Antibody at 1:1000 dilution.Secondary antibody: HRP Goat Anti-Rabbit IgG (H+L) at 1:10000 dilution.Lysates/proteins: 25ug per lane.Blocking buffer: 3% nonfat dry milk in TBST.Detection: ECL Basic Kit .Exposure time: 90s.

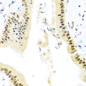
    Immunohistochemistry - ZBTB17 Polyclonal Antibody

    Immunohistochemistry - ZBTB17 Polyclonal Antibody

    Immunohistochemistry of paraffin-embedded human liver injury using ZBTB17 antibody at dilution of 1:100 (40x lens).

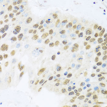
    Immunohistochemistry - ZBTB17 Polyclonal Antibody

    Immunohistochemistry - ZBTB17 Polyclonal Antibody

    Immunohistochemistry of paraffin-embedded human lung cancer using ZBTB17 antibody at dilution of 1:100 (40x lens).

    Immunohistochemistry - ZBTB17 Polyclonal Antibody

    Immunohistochemistry - ZBTB17 Polyclonal Antibody

    Immunohistochemistry of paraffin-embedded rat brain using ZBTB17 antibody at dilution of 1:100 (40x lens).

    Immunohistochemistry - ZBTB17 Polyclonal Antibody

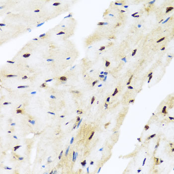
    Immunohistochemistry - ZBTB17 Polyclonal Antibody

    Immunohistochemistry of paraffin-embedded mouse heart using ZBTB17 antibody at dilution of 1:100 (40x lens).

  • Background
    Transcription factor that can function as an activator or repressor depending on its binding partners, and by targeting negative regulators of cell cycle progression. Plays a critical role in early lymphocyte development, where it is essential to prevent apoptosis in lymphoid precursors, allowing them to survive in response to IL7 and undergo proper lineage commitment. Has been shown to bind to the promoters of adenovirus major late protein and cyclin D1 and activate transcription. Required for early embryonic development during gastrulation. Represses RB1 transcription; this repression can be blocked by interaction with ZBTB49 isoform 3/ZNF509S1.

Please note: All products are "FOR RESEARCH USE ONLY AND ARE NOT INTENDED FOR DIAGNOSTIC OR THERAPEUTIC USE"