WT1 Polyclonal Antibody

Cat.#: 160907

Special Price 226.5 USD

Availability: In Stock
- +

Add to cart to get an online quotation

Product Information

  • Product Name
    WT1 Polyclonal Antibody
  • Documents
  • Description
    Polyclonal antibody to WT1
  • Tested applications
    WB, IHC, IF
  • Species reactivity
    Human, Mouse, Rat
  • Alternative names
    WT1 antibody; AWT1 antibody; EWS-WT1 antibody; GUD antibody; NPHS4 antibody; WAGR antibody; WIT-2 antibody; WT33 antibody; Wilms tumor 1 antibody
  • Isotype
    Rabbit IgG
  • Preparation
    Antigen: Recombinant fusion protein containing a sequence corresponding to amino acids 1-302 of human WT1 (NP_001185480.1).
  • Clonality
    Polyclonal
  • Formulation
    PBS with 0.02% sodium azide, 50% glycerol, pH7.3.
  • Storage instructions
    Store at -20℃. Avoid freeze / thaw cycles.
  • Applications
    WB 1:500 - 1:2000
    IHC 1:50 - 1:200
    IF 1:50 - 1:200
  • Validations

    Western blot - WT1 Polyclonal Antibody

    Western blot - WT1 Polyclonal Antibody

    Western blot analysis of extracts of various cell lines, using WT1 antibody at 1:1000 dilution.Secondary antibody: HRP Goat Anti-Rabbit IgG (H+L) at 1:10000 dilution.Lysates/proteins: 25ug per lane.Blocking buffer: 3% nonfat dry milk in TBST.

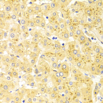
    Immunohistochemistry - WT1 Polyclonal Antibody

    Immunohistochemistry - WT1 Polyclonal Antibody

    Immunohistochemistry of paraffin-embedded human liver injury using WT1 antibody at dilution of 1:100 (40x lens).

    Immunofluorescence - WT1 Polyclonal Antibody

    Immunofluorescence - WT1 Polyclonal Antibody

    Immunofluorescence analysis of HeLa cells using WT1 antibody . Blue: DAPI for nuclear staining.

  • Background
    Transcription factor that plays an important role in cellular development and cell survival. Recognizes and binds to the DNA sequence 5'-GCG(T/G)GGGCG-3'. Regulates the expression of numerous target genes, including EPO. Plays an essential role for development of the urogenital system. It has a tumor suppressor as well as an oncogenic role in tumor formation. Function may be isoform-specific: isoforms lacking the KTS motif may act as transcription factors. Isoforms containing the KTS motif may bind mRNA and play a role in mRNA metabolism or splicing. Isoform 1 has lower affinity for DNA, and can bind RNA.

Please note: All products are "FOR RESEARCH USE ONLY AND ARE NOT INTENDED FOR DIAGNOSTIC OR THERAPEUTIC USE"