WIPI2 Polyclonal Antibody

Cat.#: 165418

Special Price 226.5 USD

Availability: In Stock
- +

Add to cart to get an online quotation

Product Information

  • Product Name
    WIPI2 Polyclonal Antibody
  • Documents
  • Description
    Polyclonal antibody to WIPI2
  • Tested applications
    WB, IHC
  • Species reactivity
    Human, Mouse, Rat
  • Alternative names
    WIPI2 antibody; ATG18B antibody; Atg21 antibody; CGI-50 antibody; WIPI-2 antibody; WD repeat domain, phosphoinositide interacting 2 antibody
  • Isotype
    Rabbit IgG
  • Preparation
    Antigen: Recombinant fusion protein containing a sequence corresponding to amino acids 187-436 of human WIPI2 (NP_057087.2).
  • Clonality
    Polyclonal
  • Formulation
    PBS with 0.02% sodium azide, 50% glycerol, pH7.3.
  • Storage instructions
    Store at -20℃. Avoid freeze / thaw cycles.
  • Applications
    WB 1:500 - 1:2000
    IHC 1:50 - 1:200
  • Validations

    Western blot - WIPI2 Polyclonal Antibody

    Western blot - WIPI2 Polyclonal Antibody

    Western blot analysis of extracts of various cell lines, using WIPI2 antibody at 1:1000 dilution.Secondary antibody: HRP Goat Anti-Rabbit IgG (H+L) at 1:10000 dilution.Lysates/proteins: 25ug per lane.Blocking buffer: 3% nonfat dry milk in TBST.Detection: ECL Basic Kit .Exposure time: 90s.

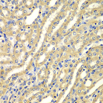
    Immunohistochemistry - WIPI2 Polyclonal Antibody

    Immunohistochemistry - WIPI2 Polyclonal Antibody

    Immunohistochemistry of paraffin-embedded human kidney using WIPI2 antibody at dilution of 1:100 (40x lens).

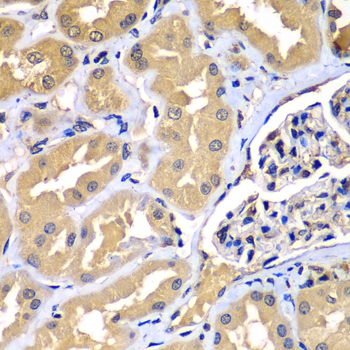
    Immunohistochemistry - WIPI2 Polyclonal Antibody

    Immunohistochemistry - WIPI2 Polyclonal Antibody

    Immunohistochemistry of paraffin-embedded mouse kidney using WIPI2 antibody at dilution of 1:100 (40x lens).

  • Background
    Component of the autophagy machinery that controls the major intracellular degradation process by which cytoplasmic materials are packaged into autophagosomes and delivered to lysosomes for degradation. Involved in an early step of the formation of preautophagosomal structures. Binds and is activated by phosphatidylinositol 3-phosphate (PtdIns3P) forming on membranes of the endoplasmic reticulum upon activation of the upstream ULK1 and PI3 kinases. Once activated, WIPI2 recruits at phagophore assembly sites the ATG12-ATG5-ATG16L1 complex that directly controls the elongation of the nascent autophagosomal membrane.; Isoform 4: Recruits the ATG12-ATG5-ATG16L1 complex to omegasomes and preautophagosomal structures, resulting in ATG8 family proteins lipidation and starvation-induced autophagy. Isoform 4 is also required for autophagic clearance of pathogenic bacteria. Isoform 4 binds the membrane surrounding Salmonella and recruits the ATG12-5-16L1 complex, initiating LC3 conjugation, autophagosomal membrane formation, and engulfment of Salmonella.

Please note: All products are "FOR RESEARCH USE ONLY AND ARE NOT INTENDED FOR DIAGNOSTIC OR THERAPEUTIC USE"