WHSC1 Polyclonal Antibody

Cat.#: 165621

Special Price 226.5 USD

Availability: In Stock
- +

Add to cart to get an online quotation

Product Information

  • Product Name
    WHSC1 Polyclonal Antibody
  • Documents
  • Description
    Polyclonal antibody to WHSC1
  • Tested applications
    WB, IHC
  • Species reactivity
    Human, Mouse
  • Alternative names
    NSD2 antibody; KMT3F antibody; KMT3G antibody; MMSET antibody; REIIBP antibody; TRX5 antibody; WHS antibody; WHSC1 antibody; histone-lysine N-methyltransferase NSD2 antibody
  • Isotype
    Rabbit IgG
  • Preparation
    Antigen: Recombinant fusion protein containing a sequence corresponding to amino acids 1-240 of human WHSC1 (NP_579877.1).
  • Clonality
    Polyclonal
  • Formulation
    PBS with 0.02% sodium azide, 50% glycerol, pH7.3.
  • Storage instructions
    Store at -20℃. Avoid freeze / thaw cycles.
  • Applications
    WB 1:500 - 1:2000
    IHC 1:50 - 1:200
  • Validations

    Western blot - WHSC1 Polyclonal Antibody

    Western blot - WHSC1 Polyclonal Antibody

    Western blot analysis of extracts of various cell lines, using WHSC1 antibody at 1:1000 dilution.Secondary antibody: HRP Goat Anti-Rabbit IgG (H+L) at 1:10000 dilution.Lysates/proteins: 25ug per lane.Blocking buffer: 3% nonfat dry milk in TBST.Detection: ECL Basic Kit .Exposure time: 90s.

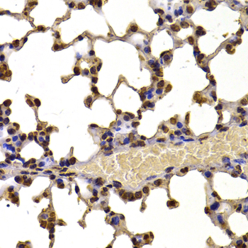
    Immunohistochemistry - WHSC1 Polyclonal Antibody

    Immunohistochemistry - WHSC1 Polyclonal Antibody

    Immunohistochemistry of paraffin-embedded mouse lung using WHSC1 antibody at dilution of 1:100 (40x lens).

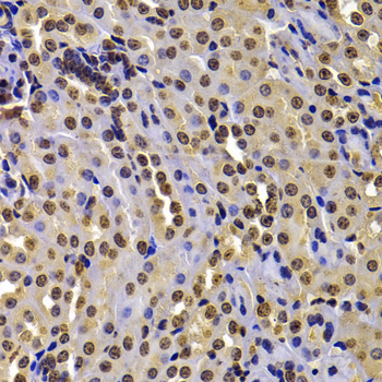
    Immunohistochemistry - WHSC1 Polyclonal Antibody

    Immunohistochemistry - WHSC1 Polyclonal Antibody

    Immunohistochemistry of paraffin-embedded mouse kidney using WHSC1 antibody at dilution of 1:100 (40x lens).

  • Background
    Histone methyltransferase with histone H3 'Lys-27' (H3K27me) methyltransferase activity. Isoform 2 may act as a transcription regulator that binds DNA and suppresses IL5 transcription through HDAC recruitment.

Please note: All products are "FOR RESEARCH USE ONLY AND ARE NOT INTENDED FOR DIAGNOSTIC OR THERAPEUTIC USE"