WBSCR22 Polyclonal Antibody

Cat.#: 165307

Special Price 226.5 USD

Availability: In Stock
- +

Add to cart to get an online quotation

Product Information

  • Product Name
    WBSCR22 Polyclonal Antibody
  • Documents
  • Description
    Polyclonal antibody to WBSCR22
  • Tested applications
    WB, IHC, IF
  • Species reactivity
    Human, Rat
  • Alternative names
    BUD23 antibody; HASJ4442 antibody; HUSSY-3 antibody; MERM1 antibody; PP3381 antibody; WBMT antibody; WBSCR22 antibody; probable 18S rRNA (guanine-N)-methyltransferase antibody
  • Isotype
    Rabbit IgG
  • Preparation
    Antigen: Recombinant fusion protein containing a sequence corresponding to amino acids 1-281 of human WBSCR22 (NP_059998.2).
  • Clonality
    Polyclonal
  • Formulation
    PBS with 0.02% sodium azide, 50% glycerol, pH7.3.
  • Storage instructions
    Store at -20℃. Avoid freeze / thaw cycles.
  • Applications
    WB 1:500 - 1:2000
    IHC 1:50 - 1:200
    IF 1:50 - 1:100
  • Validations

    Western blot - WBSCR22 Polyclonal Antibody

    Western blot - WBSCR22 Polyclonal Antibody

    Western blot analysis of extracts of various cell lines, using WBSCR22 antibody at 1:1000 dilution.Secondary antibody: HRP Goat Anti-Rabbit IgG (H+L) at 1:10000 dilution.Lysates/proteins: 25ug per lane.Blocking buffer: 3% nonfat dry milk in TBST.Detection: ECL Basic Kit .Exposure time: 30s.

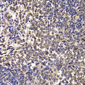
    Immunohistochemistry - WBSCR22 Polyclonal Antibody

    Immunohistochemistry - WBSCR22 Polyclonal Antibody

    Immunohistochemistry of paraffin-embedded rat spleen using WBSCR22 antibody at dilution of 1:100 (40x lens).

    Immunohistochemistry - WBSCR22 Polyclonal Antibody

    Immunohistochemistry - WBSCR22 Polyclonal Antibody

    Immunohistochemistry of paraffin-embedded human kidney using WBSCR22 antibody at dilution of 1:100 (40x lens).

    Immunofluorescence - WBSCR22 Polyclonal Antibody

    Immunofluorescence - WBSCR22 Polyclonal Antibody

    Immunofluorescence analysis of A-549 cells using WBSCR22 antibody .

  • Background
    S-adenosyl-L-methionine-dependent methyltransferase that specifically methylates the N(7) position of a guanine in 18S rRNA. Requires the methyltransferase adapter protein TRM112 for full rRNA methyltransferase activity. Involved in the pre-rRNA processing steps leading to small-subunit rRNA production independently of its RNA-modifying catalytic activity. Important for biogenesis end export of the 40S ribosomal subunit independent on its methyltransferase activity. Locus-specific steroid receptor coactivator. Potentiates transactivation by glucocorticoid (NR3C1), mineralocorticoid (NR3C2), androgen (AR) and progesterone (PGR) receptors. Required for the maintenance of open chromatin at the TSC22D3/GILZ locus to facilitate NR3C1 loading on the response elements. Required for maintenance of dimethylation on histone H3 'Lys-79' (H3K79me2), although direct histone methyltransferase activity is not observed in vitro.

Please note: All products are "FOR RESEARCH USE ONLY AND ARE NOT INTENDED FOR DIAGNOSTIC OR THERAPEUTIC USE"