VIP Polyclonal Antibody

Cat.#: 161115

Special Price 226.5 USD

Availability: In Stock
- +

Add to cart to get an online quotation

Product Information

  • Product Name
    VIP Polyclonal Antibody
  • Documents
  • Description
    Polyclonal antibody to VIP
  • Tested applications
    WB, IHC
  • Species reactivity
    Human, Mouse, Rat
  • Alternative names
    VIP antibody; PHM27 antibody; VIP peptides antibody
  • Isotype
    Rabbit IgG
  • Preparation
    Antigen: Recombinant fusion protein containing a sequence corresponding to amino acids 31-170 of human VIP (NP_003372.1).
  • Clonality
    Polyclonal
  • Formulation
    PBS with 0.02% sodium azide, 50% glycerol, pH7.3.
  • Storage instructions
    Store at -20℃. Avoid freeze / thaw cycles.
  • Applications
    WB 1:500 - 1:2000
    IHC 1:50 - 1:200
  • Validations

    Western blot - VIP Polyclonal Antibody

    Western blot - VIP Polyclonal Antibody

    Western blot analysis of extracts of rat spinal cord, using VIP antibody at 1:1000 dilution.Secondary antibody: HRP Goat Anti-Rabbit IgG (H+L) at 1:10000 dilution.Lysates/proteins: 25ug per lane.Blocking buffer: 3% nonfat dry milk in TBST.Detection: ECL Enhanced Kit .Exposure time: 90s.

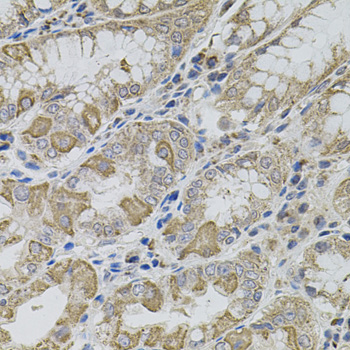
    Immunohistochemistry - VIP Polyclonal Antibody

    Immunohistochemistry - VIP Polyclonal Antibody

    Immunohistochemistry of paraffin-embedded human stomach using VIP antibody (40x lens).

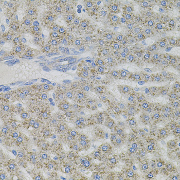
    Immunohistochemistry - VIP Polyclonal Antibody

    Immunohistochemistry - VIP Polyclonal Antibody

    Immunohistochemistry of paraffin-embedded rat liver using VIP antibody (40x lens).

    Immunohistochemistry - VIP Polyclonal Antibody

    Immunohistochemistry - VIP Polyclonal Antibody

    Immunohistochemistry of paraffin-embedded human prostate using VIP antibody (40x lens).

  • Background
    VIP causes vasodilation, lowers arterial blood pressure, stimulates myocardial contractility, increases glycogenolysis and relaxes the smooth muscle of trachea, stomach and gall bladder.; PHM and PHV also cause vasodilation. PHM-27 is a potent agonist of the calcitonin receptor CALCR, with similar efficacy as calcitonin.

Please note: All products are "FOR RESEARCH USE ONLY AND ARE NOT INTENDED FOR DIAGNOSTIC OR THERAPEUTIC USE"