UVRAG Polyclonal Antibody

Cat.#: 165886

Special Price 226.5 USD

Availability: In Stock
- +

Add to cart to get an online quotation

Product Information

  • Product Name
    UVRAG Polyclonal Antibody
  • Documents
  • Description
    Polyclonal antibody to UVRAG
  • Tested applications
    WB, IHC
  • Species reactivity
    Human, Mouse, Rat
  • Alternative names
    UVRAG antibody; DHTX antibody; VPS38 antibody; p63 antibody; UV radiation resistance associated antibody
  • Isotype
    Rabbit IgG
  • Preparation
    Antigen: Recombinant fusion protein containing a sequence corresponding to amino acids 501-699 of human UVRAG (NP_003360.2).
  • Clonality
    Polyclonal
  • Formulation
    PBS with 0.02% sodium azide, 50% glycerol, pH7.3.
  • Storage instructions
    Store at -20℃. Avoid freeze / thaw cycles.
  • Applications
    WB 1:500 - 1:2000
    IHC 1:50 - 1:100
  • Validations

    Western blot - UVRAG Polyclonal Antibody

    Western blot - UVRAG Polyclonal Antibody

    Western blot analysis of extracts of various cell lines, using UVRAG antibody at 1:1000 dilution.Secondary antibody: HRP Goat Anti-Rabbit IgG (H+L) at 1:10000 dilution.Lysates/proteins: 25ug per lane.Blocking buffer: 3% nonfat dry milk in TBST.Detection: ECL Basic Kit .Exposure time: 60s.

    Immunohistochemistry - UVRAG Polyclonal Antibody

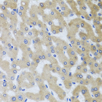
    Immunohistochemistry - UVRAG Polyclonal Antibody

    Immunohistochemistry of paraffin-embedded human liver injury using UVRAG antibody at dilution of 1:100 (40x lens).

    Immunohistochemistry - UVRAG Polyclonal Antibody

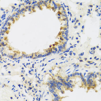
    Immunohistochemistry - UVRAG Polyclonal Antibody

    Immunohistochemistry of paraffin-embedded rat lung using UVRAG antibody at dilution of 1:100 (40x lens).

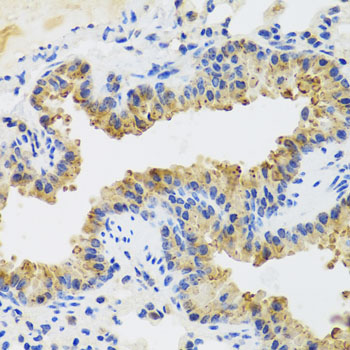
    Immunohistochemistry - UVRAG Polyclonal Antibody

    Immunohistochemistry - UVRAG Polyclonal Antibody

    Immunohistochemistry of paraffin-embedded mouse lung using UVRAG antibody at dilution of 1:100 (40x lens).

  • Background
    Versatile protein that is involved in regulation of different cellular pathways implicated in membrane trafficking. Involved in regulation of the COPI-dependent retrograde transport from Golgi and the endoplasmic reticulum by associating with the NRZ complex; the function is dependent on its binding to phosphatidylinositol 3-phosphate (PtdIns(3)P). During autophagy acts as regulatory subunit of the alternative PI3K complex II (PI3KC3-C2) that mediates formation of phosphatidylinositol 3-phosphate and is believed to be involved in maturation of autophagosomes and endocytosis. Activates lipid kinase activity of PIK3C3. Involved in the regulation of degradative endocytic trafficking and cytokinesis, and in regulation of ATG9A transport from the Golgi to the autophagosome; the functions seems to implicate its association with PI3KC3-C2. Involved in maturation of autophagosomes and degradative endocytic trafficking independently of BECN1 but depending on its association with a class C Vps complex (possibly the HOPS complex); the association is also proposed to promote autophagosome recruitment and activation of Rab7 and endosome-endosome fusion events. Enhances class C Vps complex (possibly HOPS complex) association with a SNARE complex and promotes fusogenic SNARE complex formation during late endocytic membrane fusion. In case of negative-strand RNA virus infection is required for efficient virus entry, promotes endocytic transport of virions and is implicated in a VAMP8-specific fusogenic SNARE complex assembly.; Involved in maintaining chromosomal stability. Promotes DNA double-strand break (DSB) repair by association with DNA-dependent protein kinase complex DNA-PK and activating it in non-homologous end joining (NHEJ). Required for centrosome stability and proper chromosome segregation.

Please note: All products are "FOR RESEARCH USE ONLY AND ARE NOT INTENDED FOR DIAGNOSTIC OR THERAPEUTIC USE"