UPF2 Polyclonal Antibody

Cat.#: 161617

Special Price 226.5 USD

Availability: In Stock
- +

Add to cart to get an online quotation

Product Information

  • Product Name
    UPF2 Polyclonal Antibody
  • Documents
  • Description
    Polyclonal antibody to UPF2
  • Tested applications
    WB, IHC
  • Species reactivity
    Human, Rat
  • Alternative names
    UPF2 antibody; HUPF2 antibody; RENT2 antibody; smg-3 antibody; regulator of nonsense transcripts 2 antibody
  • Isotype
    Rabbit IgG
  • Preparation
    Antigen: Recombinant fusion protein containing a sequence corresponding to amino acids 1153-1272 of human UPF2 (NP_542166.1).
  • Clonality
    Polyclonal
  • Formulation
    PBS with 0.02% sodium azide, 50% glycerol, pH7.3.
  • Storage instructions
    Store at -20℃. Avoid freeze / thaw cycles.
  • Applications
    WB 1:500 - 1:2000
    IHC 1:50 - 1:200
  • Validations

    Western blot - UPF2 Polyclonal Antibody

    Western blot - UPF2 Polyclonal Antibody

    Western blot analysis of extracts of various cell lines, using UPF2 antibody at 1:1000 dilution.Secondary antibody: HRP Goat Anti-Rabbit IgG (H+L) at 1:10000 dilution.Lysates/proteins: 25ug per lane.Blocking buffer: 3% nonfat dry milk in TBST.Detection: ECL Enhanced Kit .Exposure time: 60s.

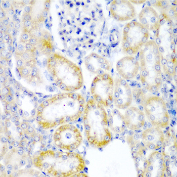
    Immunohistochemistry - UPF2 Polyclonal Antibody

    Immunohistochemistry - UPF2 Polyclonal Antibody

    Immunohistochemistry of paraffin-embedded rat kidney using UPF2 antibody at dilution of 1:200 (40x lens).

  • Background
    Involved in nonsense-mediated decay (NMD) of mRNAs containing premature stop codons by associating with the nuclear exon junction complex (EJC). Recruited by UPF3B associated with the EJC core at the cytoplasmic side of the nuclear envelope and the subsequent formation of an UPF1-UPF2-UPF3 surveillance complex (including UPF1 bound to release factors at the stalled ribosome) is believed to activate NMD. In cooperation with UPF3B stimulates both ATPase and RNA helicase activities of UPF1. Binds spliced mRNA.

Please note: All products are "FOR RESEARCH USE ONLY AND ARE NOT INTENDED FOR DIAGNOSTIC OR THERAPEUTIC USE"