UNC93B1 Polyclonal Antibody

Cat.#: 162530

Special Price 226.5 USD

Availability: In Stock
- +

Add to cart to get an online quotation

Product Information

  • Product Name
    UNC93B1 Polyclonal Antibody
  • Documents
  • Description
    Polyclonal antibody to UNC93B1
  • Tested applications
    WB
  • Species reactivity
    Human, Mouse, Rat
  • Alternative names
    UNC93B1 antibody; IIAE1 antibody; UNC93 antibody; UNC93B antibody; Unc-93B1 antibody; protein unc-93 homolog B1 antibody
  • Isotype
    Rabbit IgG
  • Preparation
    Antigen: A synthetic peptide corresponding to a sequence within amino acids 450-550 of human UNC93B1 (NP_112192.2).
  • Clonality
    Polyclonal
  • Formulation
    PBS with 0.02% sodium azide, 50% glycerol, pH7.3.
  • Storage instructions
    Store at -20℃. Avoid freeze / thaw cycles.
  • Applications
    WB 1:500 - 1:2000
  • Validations

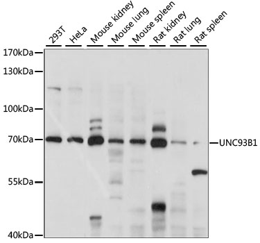
    Western blot - UNC93B1 Polyclonal Antibody

    Western blot - UNC93B1 Polyclonal Antibody

    Western blot analysis of extracts of various cell lines, using UNC93B1 antibody at 1:1000 dilution.Secondary antibody: HRP Goat Anti-Rabbit IgG (H+L) at 1:10000 dilution.Lysates/proteins: 25ug per lane.Blocking buffer: 3% nonfat dry milk in TBST.Detection: ECL Basic Kit .Exposure time: 15S.

  • Background
    Plays an important role in innate and adaptive immunity by regulating nucleotide-sensing Toll-like receptor (TLR) signaling. Required for the transport of a subset of TLRs (including TLR3, TLR7 and TLR9) from the endoplasmic reticulum to endolysosomes where they can engage pathogen nucleotides and activate signaling cascades. May play a role in autoreactive B-cells removal.

Please note: All products are "FOR RESEARCH USE ONLY AND ARE NOT INTENDED FOR DIAGNOSTIC OR THERAPEUTIC USE"