ULk1 Polyclonal Antibody

Cat.#: 165940

Special Price 226.5 USD

Availability: In Stock
- +

Add to cart to get an online quotation

Product Information

  • Product Name
    ULk1 Polyclonal Antibody
  • Documents
  • Description
    Polyclonal antibody to ULk1
  • Tested applications
    WB, IHC, IF
  • Species reactivity
    Human, Mouse, Rat
  • Alternative names
    ULK1 antibody; ATG1 antibody; ATG1A antibody; UNC51 antibody; Unc51.1 antibody; hATG1 antibody; serine/threonine-protein kinase ULK1 antibody
  • Isotype
    Rabbit IgG
  • Preparation
    Antigen: Recombinant fusion protein containing a sequence corresponding to amino acids 400-499 of human ULk1 (NP_003556.1).
  • Clonality
    Polyclonal
  • Formulation
    PBS with 0.02% sodium azide, 50% glycerol, pH7.3.
  • Storage instructions
    Store at -20℃. Avoid freeze / thaw cycles.
  • Applications
    WB 1:500 - 1:1000
    IHC 1:50 - 1:200
    IF 1:10 - 1:100
  • Validations

    Western blot - ULk1 Polyclonal Antibody

    Western blot - ULk1 Polyclonal Antibody

    Western blot analysis of extracts of various cell lines, using ULK1 antibody at 1:1000 dilution.Secondary antibody: HRP Goat Anti-Rabbit IgG (H+L) at 1:10000 dilution.Lysates/proteins: 25ug per lane.Blocking buffer: 3% nonfat dry milk in TBST.Detection: ECL Basic Kit .Exposure time: 15s.

    Immunohistochemistry - ULk1 Polyclonal Antibody

    Immunohistochemistry - ULk1 Polyclonal Antibody

    Immunohistochemistry of paraffin-embedded mouse liver using ULk1 antibody at dilution of 1:100 (40x lens).

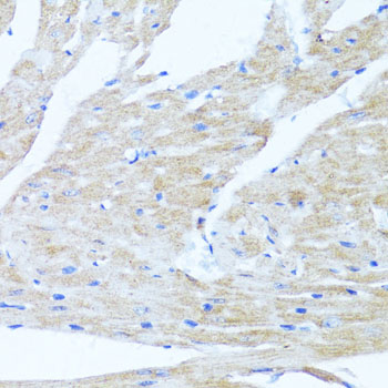
    Immunohistochemistry - ULk1 Polyclonal Antibody

    Immunohistochemistry - ULk1 Polyclonal Antibody

    Immunohistochemistry of paraffin-embedded mouse heart using ULk1 antibody at dilution of 1:100 (40x lens).

    Immunofluorescence - ULk1 Polyclonal Antibody

    Immunofluorescence - ULk1 Polyclonal Antibody

    Immunofluorescence analysis of A549 cells using ULk1 antibody .Green: ULK-1 protein stained by anti-ULK-1 antibody diluted at 1:300. Red: alpha-tubulin stained by monoclonal anti-tubulin antibody diluted at 1:100. Scale bar = 10 μm.

  • Background
    Serine/threonine-protein kinase involved in autophagy in response to starvation. Acts upstream of phosphatidylinositol 3-kinase PIK3C3 to regulate the formation of autophagophores, the precursors of autophagosomes. Part of regulatory feedback loops in autophagy: acts both as a downstream effector and negative regulator of mammalian target of rapamycin complex 1 (mTORC1) via interaction with RPTOR. Activated via phosphorylation by AMPK and also acts as a regulator of AMPK by mediating phosphorylation of AMPK subunits PRKAA1, PRKAB2 and PRKAG1, leading to negatively regulate AMPK activity. May phosphorylate ATG13/KIAA0652 and RPTOR; however such data need additional evidences. Plays a role early in neuronal differentiation and is required for granule cell axon formation. May also phosphorylate SESN2 and SQSTM1 to regulate autophagy.

Please note: All products are "FOR RESEARCH USE ONLY AND ARE NOT INTENDED FOR DIAGNOSTIC OR THERAPEUTIC USE"