UGT1A9 Polyclonal Antibody

Cat.#: 163283

Special Price 226.5 USD

Availability: In Stock
- +

Add to cart to get an online quotation

Product Information

  • Product Name
    UGT1A9 Polyclonal Antibody
  • Documents
  • Description
    Polyclonal antibody to UGT1A9
  • Tested applications
    WB, IHC, IF
  • Species reactivity
    Human, Mouse, Rat
  • Alternative names
    UGT1A9 antibody; HLUGP4 antibody; LUGP4 antibody; UDPGT antibody; UDPGT 1-9 antibody; UGT-1I antibody; UGT1-09 antibody; UGT1-9 antibody; UGT1.9 antibody; UGT1A9S antibody; UGT1AI antibody; UGT1I antibody; UDPGT1-9 antibody; UDP-glucuronosyltransferase 1-9 antibody
  • Isotype
    Rabbit IgG
  • Preparation
    Antigen: Recombinant fusion protein containing a sequence corresponding to amino acids 26-250 of human UGT1A9 (NP_066307.1).
  • Clonality
    Polyclonal
  • Formulation
    PBS with 0.02% sodium azide, 50% glycerol, pH7.3.
  • Storage instructions
    Store at -20℃. Avoid freeze / thaw cycles.
  • Applications
    WB 1:500 - 1:2000
    IHC 1:50 - 1:200
    IF 1:50 - 1:200
  • Validations

    Western blot - UGT1A9 Polyclonal Antibody

    Western blot - UGT1A9 Polyclonal Antibody

    Western blot analysis of extracts of various cell lines, using UGT1A9 antibody at 1:1000 dilution.Secondary antibody: HRP Goat Anti-Rabbit IgG (H+L) at 1:10000 dilution.Lysates/proteins: 25ug per lane.Blocking buffer: 3% nonfat dry milk in TBST.

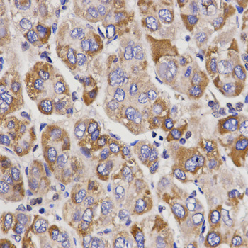
    Immunohistochemistry - UGT1A9 Polyclonal Antibody

    Immunohistochemistry - UGT1A9 Polyclonal Antibody

    Immunohistochemistry of paraffin-embedded human liver cancer using UGT1A9 antibody at dilution of 1:200 (40x lens).

    Immunofluorescence - UGT1A9 Polyclonal Antibody

    Immunofluorescence - UGT1A9 Polyclonal Antibody

    Immunofluorescence analysis of MCF-7 cells using UGT1A9 antibody . Blue: DAPI for nuclear staining.

  • Background
    UDPGT is of major importance in the conjugation and subsequent elimination of potentially toxic xenobiotics and endogenous compounds. This isoform has specificity for phenols. Isoform 2 lacks transferase activity but acts as a negative regulator of isoform 1.

Please note: All products are "FOR RESEARCH USE ONLY AND ARE NOT INTENDED FOR DIAGNOSTIC OR THERAPEUTIC USE"