UGT1A4 Polyclonal Antibody

Cat.#: 164548

Special Price 226.5 USD

Availability: In Stock
- +

Add to cart to get an online quotation

Product Information

  • Product Name
    UGT1A4 Polyclonal Antibody
  • Documents
  • Description
    Polyclonal antibody to UGT1A4
  • Tested applications
    WB, IHC
  • Species reactivity
    Human, Mouse
  • Alternative names
    UGT1A4 antibody; HUG-BR2 antibody; UDPGT antibody; UDPGT 1-4 antibody; UGT-1D antibody; UGT1-04 antibody; UGT1.4 antibody; UGT1A4S antibody; UGT1D antibody; UDPGT1-4 antibody; UDP-glucuronosyltransferase 1-4 antibody
  • Isotype
    Rabbit IgG
  • Preparation
    Antigen: Recombinant fusion protein containing a sequence corresponding to amino acids 29-150 of human UGT1A4 (NP_009051.1).
  • Clonality
    Polyclonal
  • Formulation
    PBS with 0.02% sodium azide, 50% glycerol, pH7.3.
  • Storage instructions
    Store at -20℃. Avoid freeze / thaw cycles.
  • Applications
    WB 1:500 - 1:2000
    IHC 1:50 - 1:200
  • Validations

    Western blot - UGT1A4 Polyclonal Antibody

    Western blot - UGT1A4 Polyclonal Antibody

    Western blot analysis of extracts of various cell lines, using UGT1A4 antibody at 1:1000 dilution.Secondary antibody: HRP Goat Anti-Rabbit IgG (H+L) at 1:10000 dilution.Lysates/proteins: 25ug per lane.Blocking buffer: 3% nonfat dry milk in TBST.

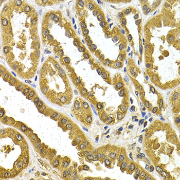
    Immunohistochemistry - UGT1A4 Polyclonal Antibody

    Immunohistochemistry - UGT1A4 Polyclonal Antibody

    Immunohistochemistry of paraffin-embedded human kidney cancer using UGT1A4 antibody at dilution of 1:200 (40x lens).

  • Background
    UDPGT is of major importance in the conjugation and subsequent elimination of potentially toxic xenobiotics and endogenous compounds. This isoform glucuronidates bilirubin IX-alpha to form both the IX-alpha-C8 and IX-alpha-C12 monoconjugates and diconjugate. Isoform 2 lacks transferase activity but acts as a negative regulator of isoform 1 (By similarity).

Please note: All products are "FOR RESEARCH USE ONLY AND ARE NOT INTENDED FOR DIAGNOSTIC OR THERAPEUTIC USE"