UBE3C Polyclonal Antibody

Cat.#: 164878

Special Price 226.5 USD

Availability: In Stock
- +

Add to cart to get an online quotation

Product Information

  • Product Name
    UBE3C Polyclonal Antibody
  • Documents
  • Description
    Polyclonal antibody to UBE3C
  • Tested applications
    WB, IHC, IF
  • Species reactivity
    Human
  • Alternative names
    UBE3C antibody; HECTH2 antibody; ubiquitin-protein ligase E3C antibody
  • Isotype
    Rabbit IgG
  • Preparation
    Antigen: Recombinant fusion protein containing a sequence corresponding to amino acids 1-270 of human UBE3C (NP_055486.2).
  • Clonality
    Polyclonal
  • Formulation
    PBS with 0.02% sodium azide, 50% glycerol, pH7.3.
  • Storage instructions
    Store at -20℃. Avoid freeze / thaw cycles.
  • Applications
    WB 1:500 - 1:2000
    IHC 1:50 - 1:200
    IF 1:10 - 1:100
  • Validations

    Western blot - UBE3C Polyclonal Antibody

    Western blot - UBE3C Polyclonal Antibody

    Western blot analysis of extracts of various cell lines, using UBE3C antibody at 1:1000 dilution.Secondary antibody: HRP Goat Anti-Rabbit IgG (H+L) at 1:10000 dilution.Lysates/proteins: 25ug per lane.Blocking buffer: 3% nonfat dry milk in TBST.Detection: ECL Basic Kit .Exposure time: 90s.

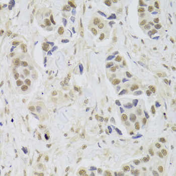
    Immunohistochemistry - UBE3C Polyclonal Antibody

    Immunohistochemistry - UBE3C Polyclonal Antibody

    Immunohistochemistry of paraffin-embedded human breast cancer using UBE3C Antibody at dilution of 1:100 (40x lens).

    Immunofluorescence - UBE3C Polyclonal Antibody

    Immunofluorescence - UBE3C Polyclonal Antibody

    Immunofluorescence analysis of U2OS cells using UBE3C antibody . Blue: DAPI for nuclear staining.

  • Background
    E3 ubiquitin-protein ligase that accepts ubiquitin from the E2 ubiquitin-conjugating enzyme UBE2D1 in the form of a thioester and then directly transfers the ubiquitin to targeted substrates. Can assemble unanchored poly-ubiquitin chains in either 'Lys-29'- or 'Lys-48'-linked polyubiquitin chains. Has preference for 'Lys-48' linkages. It can target itself for ubiquitination in vitro and may promote its own degradation in vivo.

Please note: All products are "FOR RESEARCH USE ONLY AND ARE NOT INTENDED FOR DIAGNOSTIC OR THERAPEUTIC USE"