UBE2V2 Polyclonal Antibody

Cat.#: 165132

Special Price 226.5 USD

Availability: In Stock
- +

Add to cart to get an online quotation

Product Information

  • Product Name
    UBE2V2 Polyclonal Antibody
  • Documents
  • Description
    Polyclonal antibody to UBE2V2
  • Tested applications
    WB, IHC
  • Species reactivity
    Human, Mouse, Rat
  • Alternative names
    UBE2V2 antibody; DDVIT1 antibody; DDVit-1 antibody; EDAF-1 antibody; EDPF-1 antibody; EDPF1 antibody; MMS2 antibody; UEV-2 antibody; UEV2 antibody; ubiquitin conjugating enzyme E2 V2 antibody
  • Isotype
    Rabbit IgG
  • Preparation
    Antigen: Recombinant fusion protein containing a sequence corresponding to amino acids 1-145 of human UBE2V2 (NP_003341.1).
  • Clonality
    Polyclonal
  • Formulation
    PBS with 0.02% sodium azide, 50% glycerol, pH7.3.
  • Storage instructions
    Store at -20℃. Avoid freeze / thaw cycles.
  • Applications
    WB 1:500 - 1:2000
    IHC 1:50 - 1:200
  • Validations

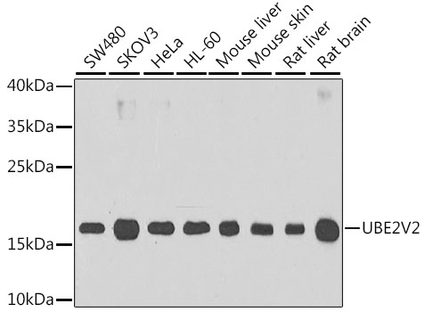
    Western blot - UBE2V2 Polyclonal Antibody

    Western blot - UBE2V2 Polyclonal Antibody

    Western blot analysis of extracts of various cell lines, using UBE2V2 antibody at 1:1000 dilution.Secondary antibody: HRP Goat Anti-Rabbit IgG (H+L) at 1:10000 dilution.Lysates/proteins: 25ug per lane.Blocking buffer: 3% nonfat dry milk in TBST.Detection: ECL Basic Kit .Exposure time: 90s.

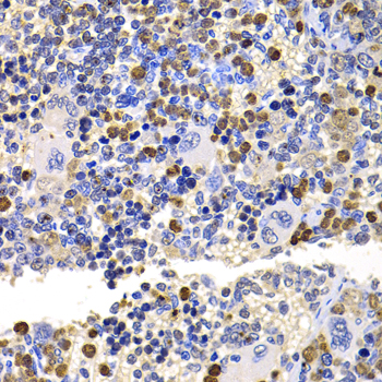
    Immunohistochemistry - UBE2V2 Polyclonal Antibody

    Immunohistochemistry - UBE2V2 Polyclonal Antibody

    Immunohistochemistry of paraffin-embedded rat spleen using UBE2V2 antibody at dilution of 1:100 (40x lens).

  • Background
    Has no ubiquitin ligase activity on its own. The UBE2V2/UBE2N heterodimer catalyzes the synthesis of non-canonical poly-ubiquitin chains that are linked through 'Lys-63'. This type of poly-ubiquitination does not lead to protein degradation by the proteasome. Mediates transcriptional activation of target genes. Plays a role in the control of progress through the cell cycle and differentiation. Plays a role in the error-free DNA repair pathway and contributes to the survival of cells after DNA damage.

Please note: All products are "FOR RESEARCH USE ONLY AND ARE NOT INTENDED FOR DIAGNOSTIC OR THERAPEUTIC USE"