UBE2R2 Polyclonal Antibody

Cat.#: 165335

Special Price 226.5 USD

Availability: In Stock
- +

Add to cart to get an online quotation

Product Information

  • Product Name
    UBE2R2 Polyclonal Antibody
  • Documents
  • Description
    Polyclonal antibody to UBE2R2
  • Tested applications
    WB, IHC, IF
  • Species reactivity
    Human, Mouse, Rat
  • Alternative names
    UBE2R2 antibody; CDC34B antibody; E2-CDC34B antibody; UBC3B antibody; ubiquitin-conjugating enzyme E2 R2 antibody
  • Isotype
    Rabbit IgG
  • Preparation
    Antigen: Recombinant fusion protein containing a sequence corresponding to amino acids 1-238 of human UBE2R2 (NP_060281.2).
  • Clonality
    Polyclonal
  • Formulation
    PBS with 0.02% sodium azide, 50% glycerol, pH7.3.
  • Storage instructions
    Store at -20℃. Avoid freeze / thaw cycles.
  • Applications
    WB 1:500 - 1:2000
    IHC 1:50 - 1:200
    IF 1:50 - 1:200
  • Validations

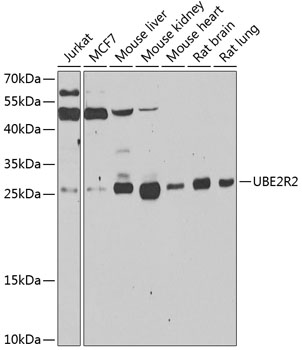
    Western blot - UBE2R2 Polyclonal Antibody

    Western blot - UBE2R2 Polyclonal Antibody

    Western blot analysis of extracts of various cell lines, using UBE2R2 antibody at 1:1000 dilution.Secondary antibody: HRP Goat Anti-Rabbit IgG (H+L) at 1:10000 dilution.Lysates/proteins: 25ug per lane.Blocking buffer: 3% nonfat dry milk in TBST.Detection: ECL Enhanced Kit .Exposure time: 30s.

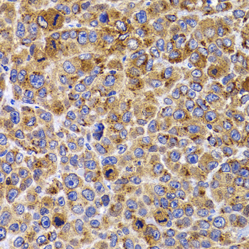
    Immunohistochemistry - UBE2R2 Polyclonal Antibody

    Immunohistochemistry - UBE2R2 Polyclonal Antibody

    Immunohistochemistry of paraffin-embedded mouse cancer using UBE2R2 antibody at dilution of 1:100 (40x lens).

    Immunofluorescence - UBE2R2 Polyclonal Antibody

    Immunofluorescence - UBE2R2 Polyclonal Antibody

    Immunofluorescence analysis of A549 cells using UBE2R2 antibody .

  • Background
    Accepts ubiquitin from the E1 complex and catalyzes its covalent attachment to other proteins. In vitro catalyzes monoubiquitination and 'Lys-48'-linked polyubiquitination. May be involved in degradation of katenin.

Please note: All products are "FOR RESEARCH USE ONLY AND ARE NOT INTENDED FOR DIAGNOSTIC OR THERAPEUTIC USE"