UBD Polyclonal Antibody

Cat.#: 161607

Special Price 226.5 USD

Availability: In Stock
- +

Add to cart to get an online quotation

Product Information

  • Product Name
    UBD Polyclonal Antibody
  • Documents
  • Description
    Polyclonal antibody to UBD
  • Tested applications
    IHC, IF
  • Species reactivity
    Human, Mouse, Rat
  • Alternative names
    UBD antibody; FAT10 antibody; GABBR1 antibody; UBD-3 antibody; ubiquitin D antibody
  • Isotype
    Rabbit IgG
  • Preparation
    Antigen: Recombinant fusion protein containing a sequence corresponding to amino acids 1-165 of human UBD (NP_006389.2).
  • Clonality
    Polyclonal
  • Formulation
    PBS with 0.02% sodium azide, 50% glycerol, pH7.3.
  • Storage instructions
    Store at -20℃. Avoid freeze / thaw cycles.
  • Applications
    IHC 1:50 - 1:200
    IF 1:50 - 1:200
  • Validations

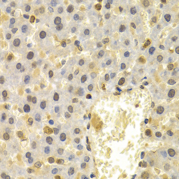
    Immunohistochemistry - UBD Polyclonal Antibody

    Immunohistochemistry - UBD Polyclonal Antibody

    Immunohistochemistry of paraffin-embedded rat liver using UBD antibody at dilution of 1:200 (40x lens).

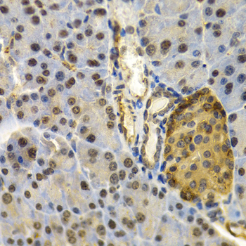
    Immunohistochemistry - UBD Polyclonal Antibody

    Immunohistochemistry - UBD Polyclonal Antibody

    Immunohistochemistry of paraffin-embedded mouse pancreas using UBD antibody at dilution of 1:200 (40x lens).

    Immunofluorescence - UBD Polyclonal Antibody

    Immunofluorescence - UBD Polyclonal Antibody

    Immunofluorescence analysis of A549 cells using UBD antibody . Blue: DAPI for nuclear staining.

  • Background
    Ubiquitin-like protein modifier which can be covalently attached to target protein and subsequently leads to their degradation by the 26S proteasome, in a NUB1-dependent manner. Probably functions as a survival factor. Conjugation ability activated by UBA6. Promotes the expression of the proteasome subunit beta type-9 (PSMB9/LMP2). Regulates TNF-alpha-induced and LPS-mediated activation of the central mediator of innate immunity NF-kappa-B by promoting TNF-alpha-mediated proteasomal degradation of ubiquitinated-I-kappa-B-alpha. Required for TNF-alpha-induced p65 nuclear translocation in renal tubular epithelial cells (RTECs). May be involved in dendritic cell (DC) maturation, the process by which immature dendritic cells differentiate into fully competent antigen-presenting cells that initiate T-cell responses. Mediates mitotic non-disjunction and chromosome instability, in long-term in vitro culture and cancers, by abbreviating mitotic phase and impairing the kinetochore localization of MAD2L1 during the prometaphase stage of the cell cycle. May be involved in the formation of aggresomes when proteasome is saturated or impaired. Mediates apoptosis in a caspase-dependent manner, especially in renal epithelium and tubular cells during renal diseases such as polycystic kidney disease and Human immunodeficiency virus (HIV)-associated nephropathy (HIVAN).

Please note: All products are "FOR RESEARCH USE ONLY AND ARE NOT INTENDED FOR DIAGNOSTIC OR THERAPEUTIC USE"