U2AF35 antibody

Cat.#: 116462

Size:

Special Price 239.0 USD

Availability: In Stock
- +

Add to cart to get an online quotation

Product Information

  • Product Name
    U2AF35 antibody
  • Documents
  • Description
    U2AF35 Rabbit Polyclonal antibody. Positive WB detected in COLO 320 cells, HeLa cells. Positive IHC detected in human prostate cancer. Observed molecular weight by Western-blot: 35kd
  • Tested applications
    ELISA, WB, IHC
  • Species reactivity
    human, mouse, rat; other species not tested.
  • Alternative names
    U2AF1 antibody; U2AF35 antibody; FP793 antibody; DKFZp313J1712 antibody
  • Isotype
    Rabbit IgG
  • Preparation
    This antibody was obtained by immunization of U2AF35 recombinant protein (Accession Number: NM_006758). Purification method: Antigen affinity purified.
  • Clonality
    Polyclonal
  • Formulation
    PBS with 0.1% sodium azide and 50% glycerol pH 7.3.
  • Storage instructions
    Store at -20℃. DO NOT ALIQUOT
  • Applications

    Recommended Dilution:

    WB: 1:500-1:5000

    IHC: 1:20-1:200

  • Validations

    COLO 320 cells were subjected to SDS PAGE followed by western blot with Catalog No:116462(U2AF35 antibody) at dilution of 1:1000

    COLO 320 cells were subjected to SDS PAGE followed by western blot with Catalog No:116462(U2AF35 antibody) at dilution of 1:1000

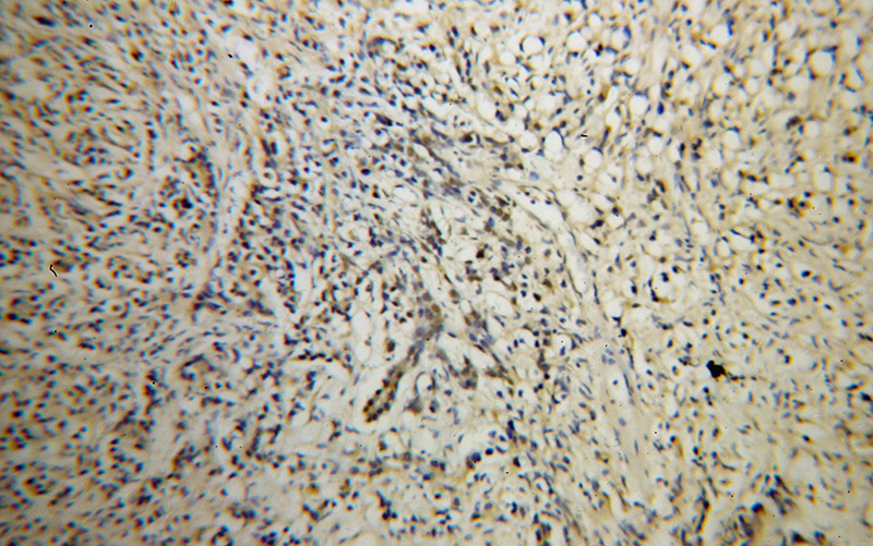
    Immunohistochemical of paraffin-embedded human prostate cancer using Catalog No:116462(U2AF35 antibody) at dilution of 1:100 (under 10x lens)

    Immunohistochemical of paraffin-embedded human prostate cancer using Catalog No:116462(U2AF35 antibody) at dilution of 1:100 (under 10x lens)

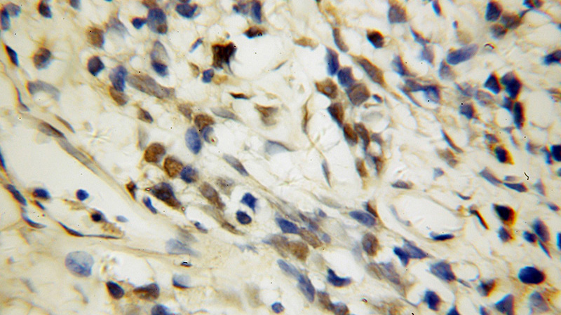
    Immunohistochemical of paraffin-embedded human prostate cancer using Catalog No:116462(U2AF35 antibody) at dilution of 1:100 (under 40x lens)

    Immunohistochemical of paraffin-embedded human prostate cancer using Catalog No:116462(U2AF35 antibody) at dilution of 1:100 (under 40x lens)

  • Background
    U2 auxiliary factor (U2AF), comprising a large and a small subunit, is a non-snRNP protein required for the binding of U2 snRNP to the pre-mRNA branch site. U2 (RNU2) small nuclear RNA auxiliary factor 1 (U2AF1,synonyms: RN, FP793, U2AF35, U2AFBP, RNU2AF1)is the small subunit which plays a critical role in both constitutive and enhancer-dependent RNA splicing by directly mediating interactions between the large subunit and proteins bound to the enhancers. The U2AF1 gene is localized to chromosome 21q22.3, which is the critical region for three diseases, progressive myoclonus epilepsy, autoimmune polyglandular disease type 1, and one form of bipolar affective disorder.
  • References
    • Kralovicova J, Vorechovsky I. Allele-specific recognition of the 3' splice site of INS intron 1. Human genetics. 128(4):383-400. 2010.
    • Markus MA, Marques FZ, Morris BJ. Resveratrol, by modulating RNA processing factor levels, can influence the alternative splicing of pre-mRNAs. PloS one. 6(12):e28926. 2011.
    • Kralovicova J, Knut M, Cross NC, Vorechovsky I. Identification of U2AF(35)-dependent exons by RNA-Seq reveals a link between 3' splice-site organization and activity of U2AF-related proteins. Nucleic acids research. 43(7):3747-63. 2015.
    • Little JT, Jurica MS. Splicing factor SPF30 bridges an interaction between the prespliceosome protein U2AF35 and tri-small nuclear ribonucleoprotein protein hPrp3. The Journal of biological chemistry. 283(13):8145-52. 2008.

Please note: All products are "FOR RESEARCH USE ONLY AND ARE NOT INTENDED FOR DIAGNOSTIC OR THERAPEUTIC USE"