TUBB8 Polyclonal Antibody

Cat.#: 165842

Special Price 226.5 USD

Availability: In Stock
- +

Add to cart to get an online quotation

Product Information

  • Product Name
    TUBB8 Polyclonal Antibody
  • Documents
  • Description
    Polyclonal antibody to TUBB8
  • Tested applications
    WB, IHC, IF
  • Species reactivity
    Human, Mouse, Rat
  • Alternative names
    TUBB8 antibody; OOMD antibody; OOMD2 antibody; bA631M21.2 antibody; tubulin beta-8 chain antibody
  • Isotype
    Rabbit IgG
  • Preparation
    Antigen: Recombinant fusion protein containing a sequence corresponding to amino acids 140-444 of human TUBB8 (NP_817124.1).
  • Clonality
    Polyclonal
  • Formulation
    PBS with 0.02% sodium azide, 50% glycerol, pH7.3.
  • Storage instructions
    Store at -20℃. Avoid freeze / thaw cycles.
  • Applications
    WB 1:500 - 1:2000
    IHC 1:50 - 1:100
    IF 1:50 - 1:200
  • Validations

    Western blot - TUBB8 Polyclonal Antibody

    Western blot - TUBB8 Polyclonal Antibody

    Western blot analysis of extracts of various cell lines, using TUBB8 antibody at 1:1000 dilution.Secondary antibody: HRP Goat Anti-Rabbit IgG (H+L) at 1:10000 dilution.Lysates/proteins: 25ug per lane.Blocking buffer: 3% nonfat dry milk in TBST.Detection: ECL Enhanced Kit .Exposure time: 90s.

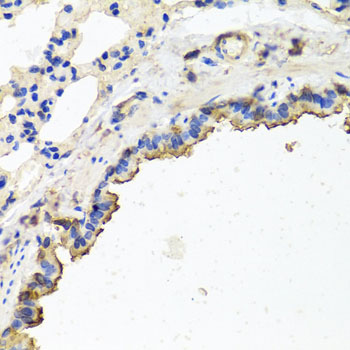
    Immunohistochemistry - TUBB8 Polyclonal Antibody

    Immunohistochemistry - TUBB8 Polyclonal Antibody

    Immunohistochemistry of paraffin-embedded rat lung using TUBB8 antibody at dilution of 1:100 (40x lens).

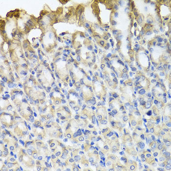
    Immunohistochemistry - TUBB8 Polyclonal Antibody

    Immunohistochemistry - TUBB8 Polyclonal Antibody

    Immunohistochemistry of paraffin-embedded mouse stomach using TUBB8 antibody at dilution of 1:100 (40x lens).

    Immunofluorescence - TUBB8 Polyclonal Antibody

    Immunofluorescence - TUBB8 Polyclonal Antibody

    Immunofluorescence analysis of U2OS cells using TUBB8 antibody at dilution of 1:100. Blue: DAPI for nuclear staining.

  • Background
    Tubulin is the major constituent of microtubules. It binds two moles of GTP, one at an exchangeable site on the beta chain and one at a non-exchangeable site on the alpha chain (By similarity). TUBB8 has a key role in meiotic spindle assembly and oocyte maturation.

Please note: All products are "FOR RESEARCH USE ONLY AND ARE NOT INTENDED FOR DIAGNOSTIC OR THERAPEUTIC USE"