TSPO Monoclonal Antibody

Cat.#: 160605

Special Price 301.9 USD

Availability: In Stock
- +

Add to cart to get an online quotation

Product Information

  • Product Name
    TSPO Monoclonal Antibody
  • Documents
  • Description
    Monoclonal antibody to TSPO
  • Tested applications
    WB, IHC, IF, IP
  • Species reactivity
    Human, Mouse
  • Alternative names
    TSPO antibody; BPBS antibody; BZRP antibody; DBI antibody; IBP antibody; MBR antibody; PBR antibody; PBS antibody; PKBS antibody; PTBR antibody; mDRC antibody; pk18 antibody; translocator protein antibody
  • Isotype
    Rabbit IgG
  • Preparation
    Antigen: Recombinant protein of human TSPO
  • Clonality
    Monoclonal
  • Formulation
    PBS with 0.02% sodium azide, 50% glycerol, pH7.3.
  • Storage instructions
    Store at -20℃. Avoid freeze / thaw cycles.
  • Applications
    WB 1:5000 - 1:10000
    IHC 1:50 - 1:200
    IF 1:50 - 1:200
    IP 1:20 - 1:50
  • Validations

    Western blot - TSPO Monoclonal Antibody

    Western blot - TSPO Monoclonal Antibody

    Western blot analysis of extracts of various cell lines, using TSPO antibody .Secondary antibody: HRP Goat Anti-Rabbit IgG (H+L) at 1:10000 dilution.Lysates/proteins: 25ug per lane.Blocking buffer: 3% nonfat dry milk in TBST.

    Immunohistochemistry - TSPO Monoclonal Antibody

    Immunohistochemistry - TSPO Monoclonal Antibody

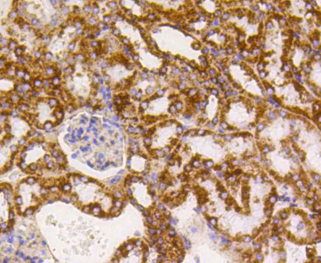
    Immunohistochemistry of paraffin-embedded mouse kidney using TSPO antibody at dilution of 1:100 (40x lens).

    Immunohistochemistry - TSPO Monoclonal Antibody

    Immunohistochemistry - TSPO Monoclonal Antibody

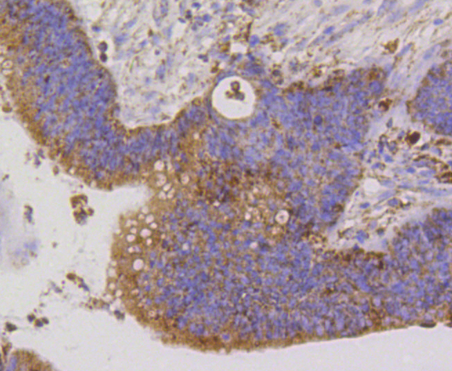
    Immunohistochemistry of paraffin-embedded human colon carcinoma using TSPO antibody at dilution of 1:100 (40x lens).

    Immunohistochemistry - TSPO Monoclonal Antibody

    Immunohistochemistry - TSPO Monoclonal Antibody

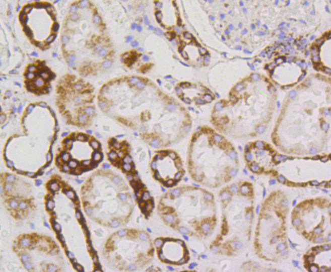
    Immunohistochemistry of paraffin-embedded human kidney using TSPO antibody at dilution of 1:100 (40x lens).

    Immunohistochemistry - TSPO Monoclonal Antibody

    Immunohistochemistry - TSPO Monoclonal Antibody

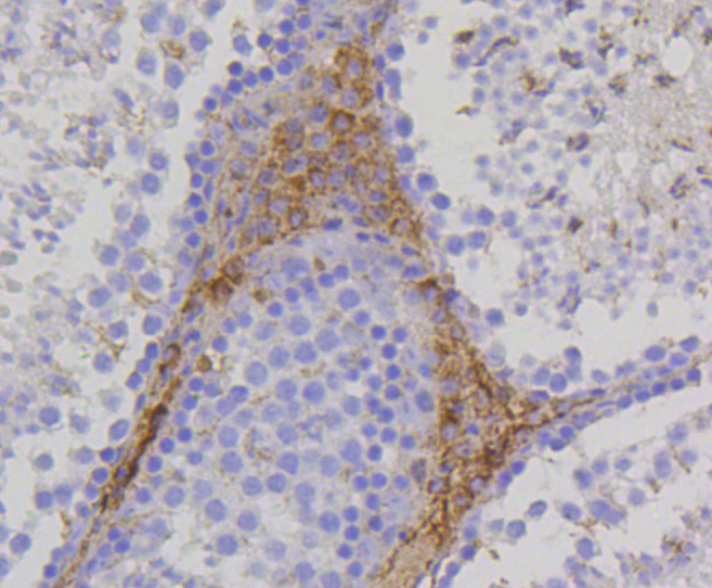
    Immunohistochemistry of paraffin-embedded mouse testis using TSPO antibody at dilution of 1:100 (40x lens).

    Immunofluorescence - TSPO Monoclonal Antibody

    Immunofluorescence - TSPO Monoclonal Antibody

    Immunofluorescence analysis of SW480 cells using TSPO antibody .

    Immunofluorescence - TSPO Monoclonal Antibody

    Immunofluorescence - TSPO Monoclonal Antibody

    Immunofluorescence analysis of HeLa cells using TSPO antibody .

    Immunofluorescence - TSPO Monoclonal Antibody

    Immunofluorescence - TSPO Monoclonal Antibody

    Immunofluorescence analysis of PC-3M cells using TSPO antibody .

  • Background
    Can bind protoporphyrin IX and may play a role in the transport of porphyrins and heme (By similarity). Promotes the transport of cholesterol across mitochondrial membranes and may play a role in lipid metabolism, but its precise physiological role is controversial. It is apparently not required for steroid hormone biosynthesis. Was initially identified as peripheral-type benzodiazepine receptor; can also bind isoquinoline carboxamides.

Please note: All products are "FOR RESEARCH USE ONLY AND ARE NOT INTENDED FOR DIAGNOSTIC OR THERAPEUTIC USE"