TRPV3 Polyclonal Antibody

Cat.#: 161166

Special Price 226.5 USD

Availability: In Stock
- +

Add to cart to get an online quotation

Product Information

  • Product Name
    TRPV3 Polyclonal Antibody
  • Documents
  • Description
    Polyclonal antibody to TRPV3
  • Tested applications
    WB, IHC
  • Species reactivity
    Human, Mouse, Rat
  • Alternative names
    TRPV3 antibody; FNEPPK2 antibody; OLMS antibody; VRL3 antibody; transient receptor potential cation channel subfamily V member 3 antibody
  • Isotype
    Rabbit IgG
  • Preparation
    Antigen: A synthetic peptide corresponding to a sequence within amino acids 400-500 of human TRPV3 (NP_659505.1).
  • Clonality
    Polyclonal
  • Formulation
    PBS with 0.02% sodium azide, 50% glycerol, pH7.3.
  • Storage instructions
    Store at -20℃. Avoid freeze / thaw cycles.
  • Applications
    WB 1:500 - 1:2000
    IHC 1:50 - 1:200
  • Validations

    Immunohistochemistry - TRPV3 Polyclonal Antibody

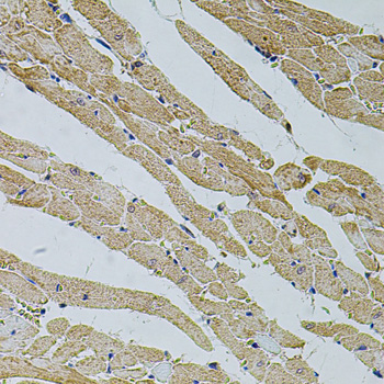
    Immunohistochemistry - TRPV3 Polyclonal Antibody

    Immunohistochemistry of paraffin-embedded rat heart using TRPV3 antibody at dilution of 1:100 (40x lens).

    Immunohistochemistry - TRPV3 Polyclonal Antibody

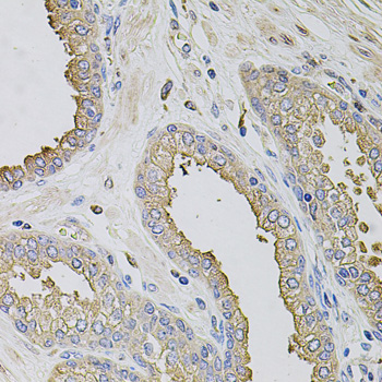
    Immunohistochemistry - TRPV3 Polyclonal Antibody

    Immunohistochemistry of paraffin-embedded human prostate using TRPV3 antibody at dilution of 1:100 (40x lens).

    Immunohistochemistry - TRPV3 Polyclonal Antibody

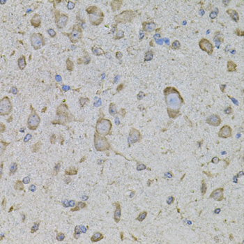
    Immunohistochemistry - TRPV3 Polyclonal Antibody

    Immunohistochemistry of paraffin-embedded mouse brain using TRPV3 antibody at dilution of 1:100 (40x lens).

  • Background
    Putative receptor-activated non-selective calcium permeant cation channel. It is activated by innocuous (warm) temperatures and shows an increased response at noxious temperatures greater than 39 degrees Celsius. Activation exhibits an outward rectification. May associate with TRPV1 and may modulate its activity. Is a negative regulator of hair growth and cycling: TRPV3-coupled signaling suppresses keratinocyte proliferation in hair follicles and induces apoptosis and premature hair follicle regression (catagen).

Please note: All products are "FOR RESEARCH USE ONLY AND ARE NOT INTENDED FOR DIAGNOSTIC OR THERAPEUTIC USE"