TOPBP1 Polyclonal Antibody

Cat.#: 164636

Special Price 226.5 USD

Availability: In Stock
- +

Add to cart to get an online quotation

Product Information

  • Product Name
    TOPBP1 Polyclonal Antibody
  • Documents
  • Description
    Polyclonal antibody to TOPBP1
  • Tested applications
    WB, IHC, IF
  • Species reactivity
    Human, Mouse
  • Alternative names
    TOPBP1 antibody; TOP2BP1 antibody; DNA topoisomerase 2-binding protein 1 antibody
  • Isotype
    Rabbit IgG
  • Preparation
    Antigen: Recombinant fusion protein containing a sequence corresponding to amino acids 1253-1522 of human TOPBP1 (NP_008958.2).
  • Clonality
    Polyclonal
  • Formulation
    PBS with 0.02% sodium azide, 50% glycerol, pH7.3.
  • Storage instructions
    Store at -20℃. Avoid freeze / thaw cycles.
  • Applications
    WB 1:500 - 1:2000
    IHC 1:100 - 1:200
    IF 1:50 - 1:200
  • Validations

    Western blot - TOPBP1 Polyclonal Antibody

    Western blot - TOPBP1 Polyclonal Antibody

    Western blot analysis of extracts of 293T cells, using TOPBP1 antibody at 1:1000 dilution._Secondary antibody: HRP Goat Anti-Rabbit IgG (H+L) at 1:10000 dilution._Lysates/proteins: 25ug per lane._Blocking buffer: 3% nonfat dry milk in TBST._Detection: ECL Enhanced Kit ._Exposure time: 50s.

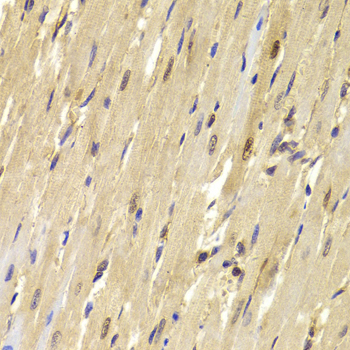
    Immunohistochemistry - TOPBP1 Polyclonal Antibody

    Immunohistochemistry - TOPBP1 Polyclonal Antibody

    Immunohistochemistry of paraffin-embedded mouse heart using TOPBP1 antibody at dilution of 1:100 (40x lens).

    Immunofluorescence - TOPBP1 Polyclonal Antibody

    Immunofluorescence - TOPBP1 Polyclonal Antibody

    Immunofluorescence analysis of A549 cells using TOPBP1 antibody . Blue: DAPI for nuclear staining.

  • Background
    Required for DNA replication. Plays a role in the rescue of stalled replication forks and checkpoint control. Binds double-stranded DNA breaks and nicks as well as single-stranded DNA. Recruits the SWI/SNF chromatin remodeling complex to E2F1-responsive promoters. Down-regulates E2F1 activity and inhibits E2F1-dependent apoptosis during G1/S transition and after DNA damage. Induces a large increase in the kinase activity of ATR.

Please note: All products are "FOR RESEARCH USE ONLY AND ARE NOT INTENDED FOR DIAGNOSTIC OR THERAPEUTIC USE"