TOP1 Polyclonal Antibody

Cat.#: 165511

Special Price 226.5 USD

Availability: In Stock
- +

Add to cart to get an online quotation

Product Information

  • Product Name
    TOP1 Polyclonal Antibody
  • Documents
  • Description
    Polyclonal antibody to TOP1
  • Tested applications
    WB, IHC, IP
  • Species reactivity
    Human, Mouse
  • Alternative names
    TOP1 antibody; TOPI antibody; DNA topoisomerase 1 antibody
  • Isotype
    Rabbit IgG
  • Preparation
    Antigen: A synthetic peptide corresponding to a sequence within amino acids 1-100 of human TOP1 (NP_003277.1).
  • Clonality
    Polyclonal
  • Formulation
    PBS with 0.02% sodium azide, 50% glycerol, pH7.3.
  • Storage instructions
    Store at -20℃. Avoid freeze / thaw cycles.
  • Applications
    WB 1:500 - 1:2000
    IHC 1:50 - 1:200
    IP 1:50 - 1:100
  • Validations

    Western blot - TOP1 Polyclonal Antibody

    Western blot - TOP1 Polyclonal Antibody

    Western blot analysis of extracts of various cell lines, using TOP1 antibody at 1:1000 dilution.Secondary antibody: HRP Goat Anti-Rabbit IgG (H+L) at 1:10000 dilution.Lysates/proteins: 25ug per lane.Blocking buffer: 3% nonfat dry milk in TBST.Detection: ECL Basic Kit .Exposure time: 90s.

    Western blot - TOP1 Polyclonal Antibody

    Western blot - TOP1 Polyclonal Antibody

    Western blot analysis of extracts of various cells, using TOP1 antibody at 1:1000 dilution ratio through one-step method.Secondary antibody: HRP Goat Anti-Rabbit IgG (H+L) at 1:4000 dilution.Lysates/proteins: 25ug per lane.Blocking buffer: 3% nonfat dry milk in TBST.Detection: ECL Basic Kit .Exposure time: 3min.

    Immunohistochemistry - TOP1 Polyclonal Antibody

    Immunohistochemistry - TOP1 Polyclonal Antibody

    Immunohistochemistry of paraffin-embedded human breast using TOP1 antibody at dilution of 1:100 (40x lens).

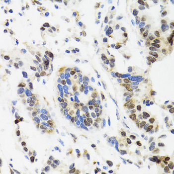
    Immunohistochemistry - TOP1 Polyclonal Antibody

    Immunohistochemistry - TOP1 Polyclonal Antibody

    Immunohistochemistry of paraffin-embedded human gastric cancer using TOP1 antibody at dilution of 1:100 (40x lens).

    Immunoprecipitation - TOP1 Polyclonal Antibody

    Immunoprecipitation - TOP1 Polyclonal Antibody

    Immunoprecipitation analysis of 200ug extracts of HeLa cells using 3ug TOP1 antibody . Western blot was performed from the immunoprecipitate using TOP1 antibody at a dilition of 1:500.

  • Background
    Releases the supercoiling and torsional tension of DNA introduced during the DNA replication and transcription by transiently cleaving and rejoining one strand of the DNA duplex. Introduces a single-strand break via transesterification at a target site in duplex DNA. The scissile phosphodiester is attacked by the catalytic tyrosine of the enzyme, resulting in the formation of a DNA-(3'-phosphotyrosyl)-enzyme intermediate and the expulsion of a 5'-OH DNA strand. The free DNA strand then rotates around the intact phosphodiester bond on the opposing strand, thus removing DNA supercoils. Finally, in the religation step, the DNA 5'-OH attacks the covalent intermediate to expel the active-site tyrosine and restore the DNA phosphodiester backbone (By similarity). Regulates the alternative splicing of tissue factor (F3) pre-mRNA in endothelial cells. Involved in the circadian transcription of the core circadian clock component ARNTL/BMAL1 by altering the chromatin structure around the ROR response elements (ROREs) on the ARNTL/BMAL1 promoter.

Please note: All products are "FOR RESEARCH USE ONLY AND ARE NOT INTENDED FOR DIAGNOSTIC OR THERAPEUTIC USE"