TNFRSF6B Polyclonal Antibody

Cat.#: 160123

Special Price 226.5 USD

Availability: In Stock
- +

Add to cart to get an online quotation

Product Information

  • Product Name
    TNFRSF6B Polyclonal Antibody
  • Documents
  • Description
    Polyclonal antibody to TNFRSF6B
  • Tested applications
    WB, IHC
  • Species reactivity
    Human, Mouse, Rat
  • Alternative names
    TNFRSF6B antibody; DCR3 antibody; DJ583P15.1.1 antibody; M68 antibody; M68E antibody; TR6 antibody; TNF receptor superfamily member 6b antibody
  • Isotype
    Rabbit IgG
  • Preparation
    Antigen: Recombinant fusion protein containing a sequence corresponding to amino acids 35-300 of human TNFRSF6B (NP_003814.1).
  • Clonality
    Polyclonal
  • Formulation
    PBS with 0.02% sodium azide, 50% glycerol, pH7.3.
  • Storage instructions
    Store at -20℃. Avoid freeze / thaw cycles.
  • Applications
    WB 1:500 - 1:2000
    IHC 1:50 - 1:200
  • Validations

    Western blot - TNFRSF6B Polyclonal Antibody

    Western blot - TNFRSF6B Polyclonal Antibody

    Western blot analysis of extracts of HT-29 cells, using TNFRSF6B antibody at 1:1000 dilution.Secondary antibody: HRP Goat Anti-Rabbit IgG (H+L) at 1:10000 dilution.Lysates/proteins: 25ug per lane.Blocking buffer: 3% nonfat dry milk in TBST.Detection: ECL Basic Kit .

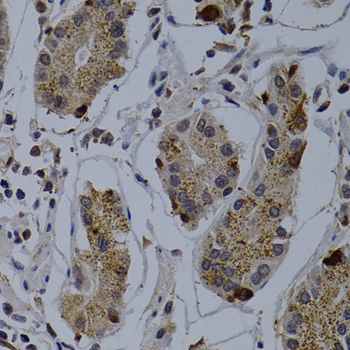
    Immunohistochemistry - TNFRSF6B Polyclonal Antibody

    Immunohistochemistry - TNFRSF6B Polyclonal Antibody

    Immunohistochemistry of paraffin-embedded human stomach using TNFRSF6B antibody at dilution of 1:200 (40x lens).

    Immunohistochemistry - TNFRSF6B Polyclonal Antibody

    Immunohistochemistry - TNFRSF6B Polyclonal Antibody

    Immunohistochemistry of paraffin-embedded human kidney cancer using TNFRSF6B antibody at dilution of 1:200 (40x lens).

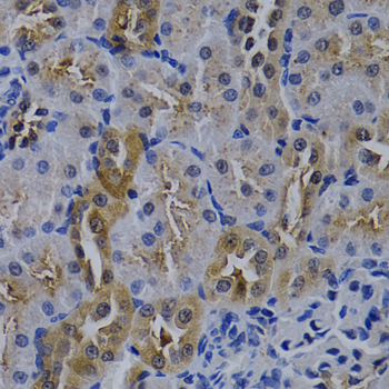
    Immunohistochemistry - TNFRSF6B Polyclonal Antibody

    Immunohistochemistry - TNFRSF6B Polyclonal Antibody

    Immunohistochemistry of paraffin-embedded rat kidney using TNFRSF6B antibody at dilution of 1:200 (40x lens).

  • Background
    Decoy receptor that can neutralize the cytotoxic ligands TNFS14/LIGHT, TNFSF15 and TNFSF6/FASL. Protects against apoptosis.

Please note: All products are "FOR RESEARCH USE ONLY AND ARE NOT INTENDED FOR DIAGNOSTIC OR THERAPEUTIC USE"