TMEM43 Polyclonal Antibody

Cat.#: 165927

Special Price 226.5 USD

Availability: In Stock
- +

Add to cart to get an online quotation

Product Information

  • Product Name
    TMEM43 Polyclonal Antibody
  • Documents
  • Description
    Polyclonal antibody to TMEM43
  • Tested applications
    WB, IHC
  • Species reactivity
    Human, Mouse
  • Alternative names
    TMEM43 antibody; ARVC5 antibody; ARVD5 antibody; EDMD7 antibody; LUMA antibody; transmembrane protein 43 antibody
  • Isotype
    Rabbit IgG
  • Preparation
    Antigen: Recombinant fusion protein containing a sequence corresponding to amino acids 80-310 of human TMEM43 (NP_077310.1).
  • Clonality
    Polyclonal
  • Formulation
    PBS with 0.02% sodium azide, 50% glycerol, pH7.3.
  • Storage instructions
    Store at -20℃. Avoid freeze / thaw cycles.
  • Applications
    WB 1:500 - 1:2000
    IHC 1:50 - 1:100
  • Validations

    Western blot - TMEM43 Polyclonal Antibody

    Western blot - TMEM43 Polyclonal Antibody

    Western blot analysis of extracts of various cell lines, using TMEM43 antibody at 1:1000 dilution.Secondary antibody: HRP Goat Anti-Rabbit IgG (H+L) at 1:10000 dilution.Lysates/proteins: 25ug per lane.Blocking buffer: 3% nonfat dry milk in TBST.Detection: ECL Enhanced Kit .Exposure time: 5s.

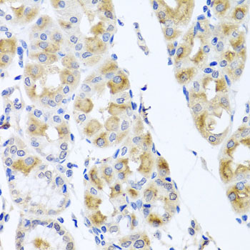
    Immunohistochemistry - TMEM43 Polyclonal Antibody

    Immunohistochemistry - TMEM43 Polyclonal Antibody

    Immunohistochemistry of paraffin-embedded human stomach using TMEM43 antibody at dilution of 1:100 (40x lens).

  • Background
    May have an important role in maintaining nuclear envelope structure by organizing protein complexes at the inner nuclear membrane. Required for retaining emerin at the inner nuclear membrane (By similarity).

Please note: All products are "FOR RESEARCH USE ONLY AND ARE NOT INTENDED FOR DIAGNOSTIC OR THERAPEUTIC USE"