TIRAP Polyclonal Antibody

Cat.#: 163630

Special Price 226.5 USD

Availability: In Stock
- +

Add to cart to get an online quotation

Product Information

  • Product Name
    TIRAP Polyclonal Antibody
  • Documents
  • Description
    Polyclonal antibody to TIRAP
  • Tested applications
    IHC
  • Species reactivity
    Human
  • Alternative names
    TIRAP antibody; BACTS1 antibody; Mal antibody; MyD88-2 antibody; wyatt antibody; TIR domain containing adaptor protein antibody
  • Isotype
    Rabbit IgG
  • Preparation
    Antigen: Recombinant fusion protein containing a sequence corresponding to amino acids 1-221 of human TIRAP (NP_001034750.1).
  • Clonality
    Polyclonal
  • Formulation
    PBS with 0.02% sodium azide, 50% glycerol, pH7.3.
  • Storage instructions
    Store at -20℃. Avoid freeze / thaw cycles.
  • Applications
    IHC 1:50 - 1:200
  • Validations

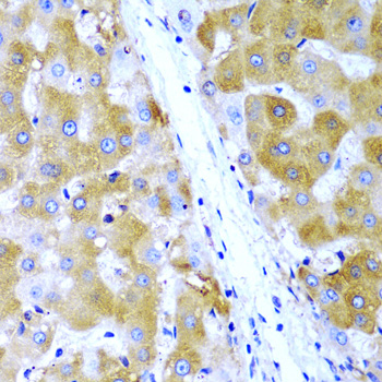
    Immunohistochemistry - TIRAP Polyclonal Antibody

    Immunohistochemistry - TIRAP Polyclonal Antibody

    Immunohistochemistry of paraffin-embedded human liver cancer using TIRAP antibody at dilution of 1:200 (40x lens).

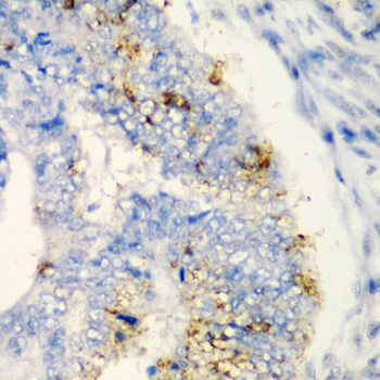
    Immunohistochemistry - TIRAP Polyclonal Antibody

    Immunohistochemistry - TIRAP Polyclonal Antibody

    Immunohistochemistry of paraffin-embedded human colon carcinoma using TIRAP antibody at dilution of 1:200 (40x lens).

  • Background
    Adapter involved in TLR2 and TLR4 signaling pathways in the innate immune response. Acts via IRAK2 and TRAF-6, leading to the activation of NF-kappa-B, MAPK1, MAPK3 and JNK, and resulting in cytokine secretion and the inflammatory response. Positively regulates the production of TNF-alpha and interleukin-6.

Please note: All products are "FOR RESEARCH USE ONLY AND ARE NOT INTENDED FOR DIAGNOSTIC OR THERAPEUTIC USE"