TIMM17A Polyclonal Antibody

Cat.#: 161697

Special Price 226.5 USD

Availability: In Stock
- +

Add to cart to get an online quotation

Product Information

  • Product Name
    TIMM17A Polyclonal Antibody
  • Documents
  • Description
    Polyclonal antibody to TIMM17A
  • Tested applications
    WB, IHC, IF
  • Species reactivity
    Human, Mouse
  • Alternative names
    TIMM17A antibody; TIM17 antibody; TIM17A antibody; translocase of inner mitochondrial membrane 17A antibody
  • Isotype
    Rabbit IgG
  • Preparation
    Antigen: Recombinant fusion protein containing a sequence corresponding to amino acids 1-171 of human TIMM17A (NP_006326.1).
  • Clonality
    Polyclonal
  • Formulation
    PBS with 0.02% sodium azide, 50% glycerol, pH7.3.
  • Storage instructions
    Store at -20℃. Avoid freeze / thaw cycles.
  • Applications
    WB 1:500 - 1:2000
    IHC 1:50 - 1:200
    IF 1:50 - 1:200
  • Validations

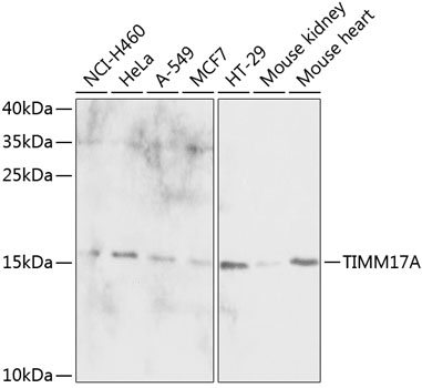
    Western blot - TIMM17A Polyclonal Antibody

    Western blot - TIMM17A Polyclonal Antibody

    Western blot analysis of extracts of various cell lines, using TIMM17A antibody at 1:1000 dilution.Secondary antibody: HRP Goat Anti-Rabbit IgG (H+L) at 1:10000 dilution.Lysates/proteins: 25ug per lane.Blocking buffer: 3% nonfat dry milk in TBST.Detection: ECL Enhanced Kit .Exposure time: 30s.

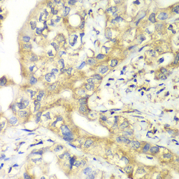
    Immunohistochemistry - TIMM17A Polyclonal Antibody

    Immunohistochemistry - TIMM17A Polyclonal Antibody

    Immunohistochemistry of paraffin-embedded human liver cancer using TIMM17A antibody at dilution of 1:100 (40x lens).

    Immunofluorescence - TIMM17A Polyclonal Antibody

    Immunofluorescence - TIMM17A Polyclonal Antibody

    Immunofluorescence analysis of U2OS cells using TIMM17A antibody . Blue: DAPI for nuclear staining.

  • Background
    Essential component of the TIM23 complex, a complex that mediates the translocation of transit peptide-containing proteins across the mitochondrial inner membrane.

Please note: All products are "FOR RESEARCH USE ONLY AND ARE NOT INTENDED FOR DIAGNOSTIC OR THERAPEUTIC USE"