TGS1 Polyclonal Antibody

Cat.#: 165567

Special Price 226.5 USD

Availability: In Stock
- +

Add to cart to get an online quotation

Product Information

  • Product Name
    TGS1 Polyclonal Antibody
  • Documents
  • Description
    Polyclonal antibody to TGS1
  • Tested applications
    WB, IHC
  • Species reactivity
    Human, Mouse
  • Alternative names
    TGS1 antibody; NCOA6IP antibody; PIMT antibody; PIPMT antibody; trimethylguanosine synthase antibody
  • Isotype
    Rabbit IgG
  • Preparation
    Antigen: Recombinant fusion protein containing a sequence corresponding to amino acids 714-853 of human TGS1 (NP_079107.6).
  • Clonality
    Polyclonal
  • Formulation
    PBS with 0.02% sodium azide, 50% glycerol, pH7.3.
  • Storage instructions
    Store at -20℃. Avoid freeze / thaw cycles.
  • Applications
    WB 1:500 - 1:2000
    IHC 1:50 - 1:200
  • Validations

    Western blot - TGS1 Polyclonal Antibody

    Western blot - TGS1 Polyclonal Antibody

    Western blot analysis of extracts of various cell lines, using TGS1 antibody at 1:1000 dilution.Secondary antibody: HRP Goat Anti-Rabbit IgG (H+L) at 1:10000 dilution.Lysates/proteins: 25ug per lane.Blocking buffer: 3% nonfat dry milk in TBST.Detection: ECL Basic Kit .Exposure time: 90s.

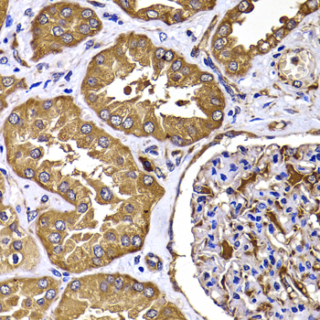
    Immunohistochemistry - TGS1 Polyclonal Antibody

    Immunohistochemistry - TGS1 Polyclonal Antibody

    Immunohistochemistry of paraffin-embedded human kidney using TGS1 antibody at dilution of 1:100 (40x lens).

  • Background
    Catalyzes the 2 serial methylation steps for the conversion of the 7-monomethylguanosine (m(7)G) caps of snRNAs and snoRNAs to a 2,2,7-trimethylguanosine (m(2,2,7)G) cap structure. The enzyme is specific for guanine, and N7 methylation must precede N2 methylation. Hypermethylation of the m7G cap of U snRNAs leads to their concentration in nuclear foci, their colocalization with coilin and the formation of canonical Cajal bodies (CBs). Plays a role in transcriptional regulation.

Please note: All products are "FOR RESEARCH USE ONLY AND ARE NOT INTENDED FOR DIAGNOSTIC OR THERAPEUTIC USE"