TGFB3 Polyclonal Antibody

Cat.#: 165885

Special Price 226.5 USD

Availability: In Stock
- +

Add to cart to get an online quotation

Product Information

  • Product Name
    TGFB3 Polyclonal Antibody
  • Documents
  • Description
    Polyclonal antibody to TGFB3
  • Tested applications
    WB, IHC, IF
  • Species reactivity
    Human, Mouse, Rat
  • Alternative names
    TGFB3 antibody; ARVD antibody; ARVD1 antibody; LDS5 antibody; RNHF antibody; TGF-beta3 antibody; transforming growth factor beta-3 antibody
  • Isotype
    Rabbit IgG
  • Preparation
    Antigen: Recombinant fusion protein containing a sequence corresponding to amino acids 25-300 of human TGFB3 (NP_003230.1).
  • Clonality
    Polyclonal
  • Formulation
    PBS with 0.02% sodium azide, 50% glycerol, pH7.3.
  • Storage instructions
    Store at -20℃. Avoid freeze / thaw cycles.
  • Applications
    WB 1:500 - 1:2000
    IHC 1:50 - 1:100
    IF 1:50 - 1:200
  • Validations

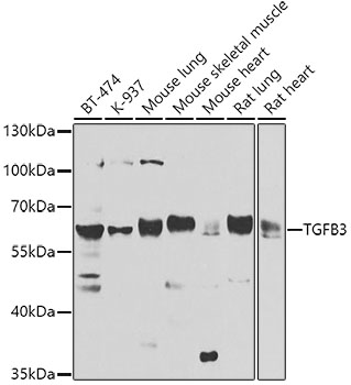
    Western blot - TGFB3 Polyclonal Antibody

    Western blot - TGFB3 Polyclonal Antibody

    Western blot analysis of extracts of various cell lines, using TGFB3 antibody at 1:1000 dilution.Secondary antibody: HRP Goat Anti-Rabbit IgG (H+L) at 1:10000 dilution.Lysates/proteins: 25ug per lane.Blocking buffer: 3% nonfat dry milk in TBST.Detection: ECL Basic Kit .Exposure time: 90s.

    Immunohistochemistry - TGFB3 Polyclonal Antibody

    Immunohistochemistry - TGFB3 Polyclonal Antibody

    Immunohistochemistry of paraffin-embedded mouse lung using TGFB3 antibody at dilution of 1:100 (40x lens).

    Immunofluorescence - TGFB3 Polyclonal Antibody

    Immunofluorescence - TGFB3 Polyclonal Antibody

    Immunofluorescence analysis of HeLa cells using TGFB3 antibody at dilution of 1:100. Blue: DAPI for nuclear staining.

  • Background
    Transforming growth factor beta-3 proprotein: Precursor of the Latency-associated peptide (LAP) and Transforming growth factor beta-3 (TGF-beta-3) chains, which constitute the regulatory and active subunit of TGF-beta-3, respectively.; Latency-associated peptide: Required to maintain the Transforming growth factor beta-3 (TGF-beta-3) chain in a latent state during storage in extracellular matrix (By similarity). Associates non-covalently with TGF-beta-3 and regulates its activation via interaction with 'milieu molecules', such as LTBP1 and LRRC32/GARP, that control activation of TGF-beta-3 (By similarity). Interaction with integrins results in distortion of the Latency-associated peptide chain and subsequent release of the active TGF-beta-3 (By similarity).; Transforming growth factor beta-3: Multifunctional protein that regulates embryogenesis and cell differentiation and is required in various processes such as secondary palate development (By similarity). Activation into mature form follows different steps: following cleavage of the proprotein in the Golgi apparatus, Latency-associated peptide (LAP) and Transforming growth factor beta-3 (TGF-beta-3) chains remain non-covalently linked rendering TGF-beta-3 inactive during storage in extracellular matrix (By similarity). At the same time, LAP chain interacts with 'milieu molecules', such as LTBP1 and LRRC32/GARP that control activation of TGF-beta-3 and maintain it in a latent state during storage in extracellular milieus (By similarity). TGF-beta-3 is released from LAP by integrins: integrin-binding results in distortion of the LAP chain and subsequent release of the active TGF-beta-3 (By similarity). Once activated following release of LAP, TGF-beta-3 acts by binding to TGF-beta receptors (TGFBR1 and TGFBR2), which transduce signal (By similarity).

Please note: All products are "FOR RESEARCH USE ONLY AND ARE NOT INTENDED FOR DIAGNOSTIC OR THERAPEUTIC USE"