TERF1 antibody

Cat.#: 115946

Size:

Special Price 239.0 USD

Availability: In Stock
- +

Add to cart to get an online quotation

Product Information

  • Product Name
    TERF1 antibody
  • Documents
  • Description
    TERF1 Rabbit Polyclonal antibody. Positive IHC detected in human gliomas tissue, human brain tissue, human heart tissue, human kidney tissue, human lung tissue, human ovary tissue, human placenta tissue, human spleen tissue, human testis tissue. Positive IP detected in HEK-293 cells. Positive WB detected in HEK-293 cells. Observed molecular weight by Western-blot: 50kd
  • Tested applications
    ELISA, WB, IHC, IP
  • Species reactivity
    Human; other species not tested.
  • Alternative names
    FLJ41416 antibody; hTRF1 AS antibody; NIMA interacting protein 2 antibody; PIN2 antibody; t TRF1 antibody; Telomeric protein Pin2/TRF1 antibody; TERF1 antibody; TRBF1 antibody; TRF antibody; TRF1 antibody; TTAGGG repeat binding factor 1 antibody
  • Isotype
    Rabbit IgG
  • Preparation
    This antibody was obtained by immunization of TERF1 recombinant protein (Accession Number: NM_003218). Purification method: Antigen affinity purified.
  • Clonality
    Polyclonal
  • Formulation
    PBS with 0.1% sodium azide and 50% glycerol pH 7.3.
  • Storage instructions
    Store at -20℃. DO NOT ALIQUOT
  • Applications

    Recommended Dilution:

    WB: 1:200-1:2000

    IP: 1:200-1:1000

    IHC: 1:20-1:200

  • Validations

    HEK-293 cells were subjected to SDS PAGE followed by western blot with Catalog No:115946(TERF1 antibody) at dilution of 1:300

    HEK-293 cells were subjected to SDS PAGE followed by western blot with Catalog No:115946(TERF1 antibody) at dilution of 1:300

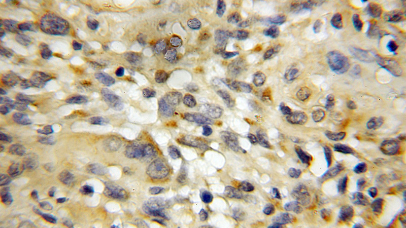
    Immunohistochemical of paraffin-embedded human gliomas using Catalog No:115946(TERF1 antibody) at dilution of 1:50 (under 10x lens)

    Immunohistochemical of paraffin-embedded human gliomas using Catalog No:115946(TERF1 antibody) at dilution of 1:50 (under 10x lens)

    IP Result of anti-TERF1 (IP:Catalog No:115946, 4ug; Detection:Catalog No:115946 1:300) with HEK-293 cells lysate 2000ug.

    IP Result of anti-TERF1 (IP:Catalog No:115946, 4ug; Detection:Catalog No:115946 1:300) with HEK-293 cells lysate 2000ug.

  • Background
    Telomeres are nucleoprotein complexes located at chromosome ends that consist of tandem arrays of TTAGGG repeats bound to specific proteins. Telomeres protect chromosome ends from degradation and end-to-end fusions, prevent activation of DNA damage checkpoints, and modulate the maintenance of telomeric DNA by telomerase. TERF1 (telomeric repeat-binding factor 1) binds the telomeric double-stranded TTAGGG repeat and negatively regulates telomere length. It's one component of the shelterin complex, which involved in the regulation of telomere length and protection.

Please note: All products are "FOR RESEARCH USE ONLY AND ARE NOT INTENDED FOR DIAGNOSTIC OR THERAPEUTIC USE"