TCTN3 Polyclonal Antibody

Cat.#: 160130

Special Price 226.5 USD

Availability: In Stock
- +

Add to cart to get an online quotation

Product Information

  • Product Name
    TCTN3 Polyclonal Antibody
  • Documents
  • Description
    Polyclonal antibody to TCTN3
  • Tested applications
    WB, IHC
  • Species reactivity
    Human, Mouse
  • Alternative names
    TCTN3 antibody; C10orf61 antibody; JBTS18 antibody; OFD4 antibody; TECT3 antibody; tectonic-3 antibody
  • Isotype
    Rabbit IgG
  • Preparation
    Antigen: Recombinant fusion protein containing a sequence corresponding to amino acids 200-475 of human TCTN3 (NP_056446.4).
  • Clonality
    Polyclonal
  • Formulation
    PBS with 0.02% sodium azide, 50% glycerol, pH7.3.
  • Storage instructions
    Store at -20℃. Avoid freeze / thaw cycles.
  • Applications
    WB 1:500 - 1:2000
    IHC 1:50 - 1:200
  • Validations

    Western blot - TCTN3 Polyclonal Antibody

    Western blot - TCTN3 Polyclonal Antibody

    Western blot analysis of extracts of various cell lines, using TCTN3 antibody at 1:500 dilution.Secondary antibody: HRP Goat Anti-Rabbit IgG (H+L) at 1:10000 dilution.Lysates/proteins: 25ug per lane.Blocking buffer: 3% nonfat dry milk in TBST.

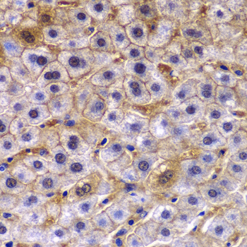
    Immunohistochemistry - TCTN3 Polyclonal Antibody

    Immunohistochemistry - TCTN3 Polyclonal Antibody

    Immunohistochemistry of paraffin-embedded human liver cancer using TCTN3 antibody at dilution of 1:100 (40x lens).

  • Background
    Part of the tectonic-like complex which is required for tissue-specific ciliogenesis and may regulate ciliary membrane composition (By similarity). May be involved in apoptosis regulation. Necessary for signal transduction through the sonic hedgehog (Shh) signaling pathway.

Please note: All products are "FOR RESEARCH USE ONLY AND ARE NOT INTENDED FOR DIAGNOSTIC OR THERAPEUTIC USE"