TCP1 Polyclonal Antibody

Cat.#: 163631

Special Price 226.5 USD

Availability: In Stock
- +

Add to cart to get an online quotation

Product Information

  • Product Name
    TCP1 Polyclonal Antibody
  • Documents
  • Description
    Polyclonal antibody to TCP1
  • Tested applications
    WB, IHC, IF
  • Species reactivity
    Human, Mouse, Rat
  • Alternative names
    TCP1 antibody; CCT-alpha antibody; CCT1 antibody; CCTa antibody; D6S230E antibody; TCP-1-alpha antibody; t-complex 1 antibody
  • Isotype
    Rabbit IgG
  • Preparation
    Antigen: Recombinant fusion protein containing a sequence corresponding to amino acids 307-556 of human TCP1 (NP_110379.2).
  • Clonality
    Polyclonal
  • Formulation
    PBS with 0.02% sodium azide, 50% glycerol, pH7.3.
  • Storage instructions
    Store at -20℃. Avoid freeze / thaw cycles.
  • Applications
    WB 1:500 - 1:2000
    IHC 1:50 - 1:200
    IF 1:50 - 1:200
  • Validations

    Western blot - TCP1 Polyclonal Antibody

    Western blot - TCP1 Polyclonal Antibody

    Western blot analysis of extracts of various cell lines, using TCP1 antibody at 1:1000 dilution.Secondary antibody: HRP Goat Anti-Rabbit IgG (H+L) at 1:10000 dilution.Lysates/proteins: 25ug per lane.Blocking buffer: 3% nonfat dry milk in TBST.

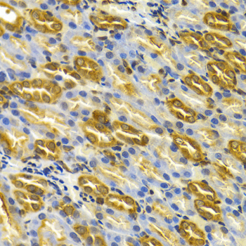
    Immunohistochemistry - TCP1 Polyclonal Antibody

    Immunohistochemistry - TCP1 Polyclonal Antibody

    Immunohistochemistry of paraffin-embedded rat kidney using TCP1 antibody at dilution of 1:100 (40x lens).

    Immunofluorescence - TCP1 Polyclonal Antibody

    Immunofluorescence - TCP1 Polyclonal Antibody

    Immunofluorescence analysis of U2OS cells using TCP1 antibody . Blue: DAPI for nuclear staining.

  • Background
    Component of the chaperonin-containing T-complex (TRiC), a molecular chaperone complex that assists the folding of proteins upon ATP hydrolysis. The TRiC complex mediates the folding of WRAP53/TCAB1, thereby regulating telomere maintenance. As part of the TRiC complex may play a role in the assembly of BBSome, a complex involved in ciliogenesis regulating transports vesicles to the cilia. The TRiC complex plays a role in the folding of actin and tubulin (Probable).

Please note: All products are "FOR RESEARCH USE ONLY AND ARE NOT INTENDED FOR DIAGNOSTIC OR THERAPEUTIC USE"