TCEB3 Polyclonal Antibody

Cat.#: 165131

Special Price 226.5 USD

Availability: In Stock
- +

Add to cart to get an online quotation

Product Information

  • Product Name
    TCEB3 Polyclonal Antibody
  • Documents
  • Description
    Polyclonal antibody to TCEB3
  • Tested applications
    WB, IHC, IF
  • Species reactivity
    Human, Mouse, Rat
  • Alternative names
    ELOA antibody; SIII antibody; SIII p110 antibody; TCEB3 antibody; TCEB3A antibody; SIIIp110 antibody; elongin-A antibody
  • Isotype
    Rabbit IgG
  • Preparation
    Antigen: Recombinant fusion protein containing a sequence corresponding to amino acids 679-798 of human TCEB3 (NP_003189.2).
  • Clonality
    Polyclonal
  • Formulation
    PBS with 0.02% sodium azide, 50% glycerol, pH7.3.
  • Storage instructions
    Store at -20℃. Avoid freeze / thaw cycles.
  • Applications
    WB 1:500 - 1:2000
    IHC 1:50 - 1:200
    IF 1:50 - 1:200
  • Validations

    Western blot - TCEB3 Polyclonal Antibody

    Western blot - TCEB3 Polyclonal Antibody

    Western blot analysis of extracts of various cell lines, using TCEB3 antibody at 1:1000 dilution.Secondary antibody: HRP Goat Anti-Rabbit IgG (H+L) at 1:10000 dilution.Lysates/proteins: 25ug per lane.Blocking buffer: 3% nonfat dry milk in TBST.Detection: ECL Enhanced Kit .Exposure time: 30s.

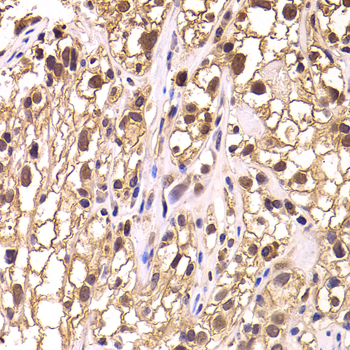
    Immunohistochemistry - TCEB3 Polyclonal Antibody

    Immunohistochemistry - TCEB3 Polyclonal Antibody

    Immunohistochemistry of paraffin-embedded human kidney cancer using TCEB3 antibody at dilution of 1:100 (40x lens).

    Immunofluorescence - TCEB3 Polyclonal Antibody

    Immunofluorescence - TCEB3 Polyclonal Antibody

    Immunofluorescence analysis of MCF7 cells using TCEB3 antibody .

  • Background
    SIII, also known as elongin, is a general transcription elongation factor that increases the RNA polymerase II transcription elongation past template-encoded arresting sites. Subunit A is transcriptionally active and its transcription activity is strongly enhanced by binding to the dimeric complex of the SIII regulatory subunits B and C (elongin BC complex).

Please note: All products are "FOR RESEARCH USE ONLY AND ARE NOT INTENDED FOR DIAGNOSTIC OR THERAPEUTIC USE"